My BEST Dentists Journal

All Journal Entries
Share

Exostosis – What It Is and How to Fix It

If you brush and floss your teeth on a regular basis, each time you’re finished, you might take a look in the mirror to check out your teeth and see how they look. If you’ve ever observed your mouth and saw something unexpected, you’ve probably had a lot of questions, anxiety, and worry running through your mind.

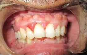
When inspecting your mouth, have you ever observed something that appears to be a bony growth on gums or at the jawline? While they may look scary or even gross; these bony growth on gums, known as tori or “exostoses” can occur in any person.

Exostosis Mouth

Exostoses are symptomatic boney outgrowths that grow when there is an excessive amount of stress and tension placed on the teeth’s underlying structures. Tori is widely seen in patients who clench their teeth – which can cause higher levels of stress.

There have also been patients who have Tori who do not suffer from TMJ symptoms. A very common cause of exostoses mouth is a bad bite, also known as malocclusion. Malocclusion occurs when the teeth do not align properly. When the teeth are not aligned, the jaw joint experiences a higher level of stress and tension. This occurs as the jaw joint moves into a torque position that then encourages the tori mouth bone growth.

At the same time, malocclusion can also cause pain and discomfort. Teeth clenching, malocclusion or some other underlying problem can cause excess strain and tension on the teeth and jaw joints.

This then causes the body’s natural defense to produce extra bone material to support the teeth. When these bone materials grow, they often become very visible.

Getting Rid of Tori Gums

Generally, the treatment of Tori gums involves removing the bony growths from the mouth through surgery. While surgery is successful for some; for other patients, tori in mouth bone growth may return if the underlying cause of the problem isn’t corrected with a surgical extraction.

For the treatment of tori to be permanent, it’s important to diagnose the root cause of the problem to treat it accordingly. Tori will only go away when the cause of the excess pressure and tension is gone.

(08/08/2022)
by Colllins Dentistry

More Information: N

Views: 704
Share


My BEST Dentists Journal Headlines