My BEST Dentists Journal

All Journal Entries
Share

Four Signs Of Healthy Interdental Papilla

Although it has a complicated-sounding name, interdental papilla have a simple function: they're the gums between your teeth. Gum health is essential to your overall dental health, so it's important that you make sure these small sections of gum tissue are in great shape. There are a few clear signs that your interdental gums are healthy (and some signs that you might need to visit your dentist to help get them healthier). Keep an eye on your gums for clues to your oral health and act quickly if you notice signs that they need some extra TLC.

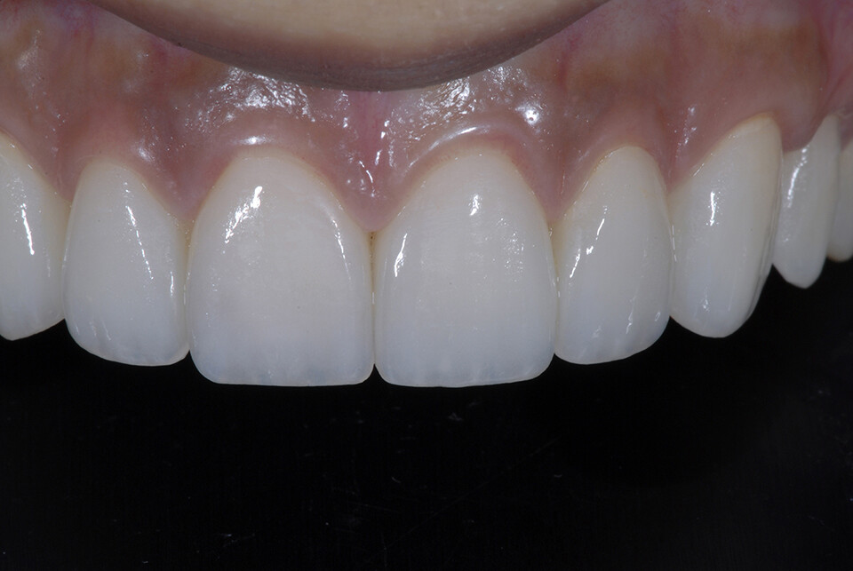
Signs of Healthy Interdental Papilla

Don't discount the health of the tiny bit of gum tissue between your teeth. Although they're small, they help to protect the roots of your teeth from exposure, bacteria and the effect of food between your teeth. Here are some of the signs that they're in good shape:

Healthy pigmentation. Healthy gums will exhibit a coral pink colour. Gums that are dark red or bleed frequently between the teeth can be a sign of gingivitis and unhealthy gums.

Firm attachment. Your interdental papilla are what stands between the roots of your teeth and harmful bacteria and food particles. When healthy, they attach firmly between teeth without leaving gaps. When gums begin to leave gaps or recede down the teeth, it's a sign that they're not as healthy as they should be.

Triangular shape. Another sign of receding gums is the shape of the papilla between your teeth. When healthy, there should be a small triangle of tissue between each set of teeth. Papilla should also be equivalent to the size of the teeth they are next to, with molars having large papilla and canines having small papilla.

Pain- and blood-free. The gum tissue that fills the space between your teeth is called the papilla. The National Health Portal of India notes that gum disease, also known as periodontal disease, is a chronic bacterial infection affecting gums and bone supporting the teeth. It may be in the form of simple gum inflammation or a serious disease that can cause major harm to gums and supporting bone. Its symptoms include red, swollen, tender gums and bleeding among others.

If you notice that the gums between your teeth aren't as healthy as they should be, you should start taking better care of them right away. Naturally, good oral hygiene habits are the first defence in keeping your interdental papilla healthy and better able to do their job in protecting your teeth. Brushing twice daily is key. You may want to use a soft-bristled toothbrush for sensitive or swollen gums.

Your interdental papilla have an important part to play in your overall oral health. By taking the time to examine them and look for signs that they might be suffering, you can address small issues before they become big problems during your next dental check-up.

(10/30/2022)
by Colgate

More Information: N

Views: 506
Share


My BEST Dentists Journal Headlines