My BEST Dentists Journal

All Journal Entries
Share

How Do I Know If I Have a Cavity?

Taking care of your oral and overall health must be a priority. Knowing when you need to call your dentist is important. Practicing good oral hygiene habits help to prevent tooth decay, cavities, and many other issues. Cavities are one of the most common issues patients face, and about 30 percent of Americans have untreated dental cavities. Leaving a cavity untreated can destroy your teeth leading to tooth loss, infection, and other more serious conditions.It is helpful for patients to understand what a cavity is, and also know what symptoms to look out for if you think you may have a cavity.

What is a Cavity?

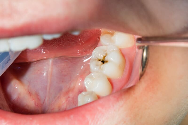
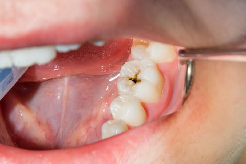
A cavity is when bacteria or food build up and form plaque on your teeth. The bacteria eat away at the enamel on your teeth and cause decay. Good oral hygiene habits are so important, and brushing and flossing can help you get rid of the plaque build up to prevent cavities from developing. Once the cavity is formed there is a small hole in your tooth, and if left untreated the cavity can destroy your tooth or develop an infection.

What Are the Signs of a Cavity?

There are signs you can look out for that may indicate you have a cavity. If you experience any of these signs we encourage you to contact our office, and our staff will get you in as soon as possible. Our team always works to keep our patient’s teeth and mouth healthy and pain free.

• Sensitivity to hot and cold that lingers and does not go away

• Sensitivity to sweet foods or drinks

• A toothache that is on or around one or more teeth

• Pain when you bite down or pain during eating

• Discoloration, white spots, or staining on a tooth

• A small hole or mark on your tooth

Knowing these signs can help you decide if you need to contact a dentist. A  cavity should never be left untreated.

(04/01/2024)
by Dream Smile Family

More Information: N

Views: 452
Share


My BEST Dentists Journal Headlines