My BEST Dentists Journal

All Journal Entries
Share

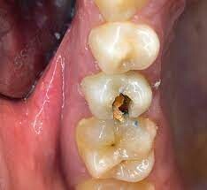
How Long Does It Take For a Cavity To Develop?

Cavities don't just form overnight. It can take months, or possibly even years, before the decay process advances to the point where a tooth requires attention. The entire process of tooth demineralization takes place whenever an acidic oral environment exists, and fortunately, this environment isn't the norm for a person's mouth. 

Early-stage tooth decay can be corrected when it's caught early enough, which is why it's so essential to visit your dentist every six months for an exam. 

Every Cavity Is Different

The time it takes for a cavity to form varies. It can, on average, take anywhere from six months to four or five years before a cavity requires treatment. The length of time it takes will vary on a case-by-case basis because the conditions of your mouth differ daily. This means that a cavity can start to form and then not have the right conditions to continue to develop. A cavity won't just go away on its own; however, it can be slower to form, which allows your dentist to correct the issue before it gets worse. 

Factors That Come Into Play 

There are several types of factors that can significantly influence the length of time it takes for a cavity to form. The most common factors that can increase or decrease the speed in which cavity forms include:

Acid Levels – Cavities will start to develop when acid levels in the mouth increase.

The number of Acid Attacks – Teeth are extremely strong. However, if a tooth is subjected to multiple small acid attacks, eventually, a cavity will form.

Location Where the Cavity is Forming – Enamel is durable and contains minerals, which means it will take longer for a cavity to form in enamel than in the dentin of a tooth.

The thickness of the Tooth Enamel – Tooth enamel is thinner near the gum line, which means that cavities form quicker near the gums than they do on the tops of teeth.

Quality of the Tooth Enamel – Enamel that contains lots of minerals will take longer to get a cavity than enamel that has fewer minerals.

Tooth Damage CAN Be Reversed

If your dentist tells you that you have a cavity forming, there are ways to stop early-stage tooth decay from progressing into a full-blown cavity. The process known as remineralization can occur, which can reverse tooth decay. 

Remineralization can correct damage to a tooth. When a cavity begins to form, the enamel or dentin starts to lose valuable minerals that protect the tooth. You can help to put these valuable materials back into the tooth by remineralizing it. The tooth will start to strengthen itself and repair the decay to the point where a cavity is no longer forming. 

While remineralization can reverse some damage to the surface of a tooth and prevent some cavities, it won't work for all situations. If the damage to the enamel or dentin is too severe, the process will be ineffective, and the cavity will need to be treated by your dentist. 

Cavity Prevention Is Simple 

You can do your part in helping to protect your teeth from tooth decay by following a few simple guidelines:

Gently brush your teeth at least twice a day for a full two minutes with a soft-bristled toothbrush and fluoride toothpaste.

Floss once a day. 

Incorporate a fluoride mouthwash into your oral care routine. 

Avoid sugary and starchy foods, and avoid frequent snacking. 

Having regular teeth cleanings and exams every six months is another necessary step in eliminating cavity-causing plaque and tartar. During these exams, your dentist will be able to identify any early signs of tooth decay and give you the tools and knowledge to combat cavities. Contact Tompkins Dental to schedule an appointment for a routine dental cleaning and exam. 

(04/08/2022)
by Tompkins Dental

More Information: N

Views: 566
Share


My BEST Dentists Journal Headlines