My BEST Dentists Journal

All Journal Entries
Share

Serious Tooth Infections

Toothaches can be surprisingly painful and can make it hard for you to concentrate on anything else. Your teeth are packed with nerves, which is why although your teeth are small, a toothache can pack a punch. They're usually caused by a tooth infection, resulting in soreness or pain in your mouth. Read on to learn what causes an infection, what its symptoms are, and how to treat it with the help of your dentist.

What Is a Tooth Infection?

According to Stat Pearls, dental infections happen when bacteria invade the pulp (the soft area within your tooth) and spread to surrounding tissues. This can be due to dental procedures, trauma, or dental caries. The infection will originate in the tooth or its supporting structures and then spread to the tissues surrounding it.

Signs and Symptoms of Tooth Infections

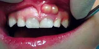
One of the first signs of a tooth infection is a sore or throbbing tooth. If left untreated, you will notice swelling, difficulty chewing, pain that radiates to the jawbone, and even fever and swollen neck glands, indicating that the tooth infection is spreading to other parts of your body.

Some other oral symptoms of tooth infection:

Bitter taste in your mouth

Bad breath that doesn't go away by rinsing your mouth with water or a mouthwash

Red or swollen gums

Loosening of teeth

Open, draining sore on the gums that surround the tooth

Tooth sensitivity

Causes

The American Dental Association attributes the infection to tooth decay, periodontal disease, or a cracked tooth. Any of these conditions can let bacteria enter the pulp, causing a build-up of pus at the root tip in the jawbone. This build-up of pus is called an abscess. An abscess that's left untreated can leave you with a severe infection that can affect your jawbone.

Treatment Options

Depending on the state of your infection, your dentist may consider one or multiple of the following treatment options:

Draining the abscess. Your dentist might make a small incision to allow the abscess to drain out. Typically after this, that area is washed with saline.

Performing a root canal. After drilling down into your tooth and removing the diseased pulp, your dentist will drain the abscess and fill and seal your tooth's pulp chamber and root canals. Your tooth may then be capped with a crown or another restoration.

Prescribing antibiotics. If your infection is in the process of spreading to nearby areas in your mouth, your dentist may prescribe antibiotics to stop the infection.

It should be noted that if you've let your tooth infection go untreated and if you have a fever or swelling or have trouble breathing or swallowing, you should seek medical attention immediately. It's likely your infection has now spread to other parts of your body, like your jawbone and surrounding areas.

Prevention

Tooth infections can be both disruptive and painful. That's why prevention is as important as a cure when dealing with them. Good oral care habits can ensure that you don't get cavities or tooth decay. Brush twice a day and floss daily to get rid of any bacteria. Regular checkups at your dentist is also a must to prevent infection because your dentist will often notice issues you may not.

While you can't always account for accidents that cause tooth infections (like a broken tooth), good oral hygiene can still go a long way. And if you do happen to find yourself with a sore or throbbing tooth, don't let the infection go untreated. The quicker you consult your dentist, the quicker you'll be comfortable and pain-free again!

(03/06/2022)
by Colgate

More Information: N

Views: 643
Share


My BEST Dentists Journal Headlines