My BEST Dentists Journal

All Journal Entries
Share

Teeth Turning Grey or Blue: Causes And Treatments

We do a lot to keep our teeth bright, white, and sparkling. Despite our best efforts, we may sometimes see unfamiliar stains or shades on our teeth that aren’t a typical yellow color, but grey or blue instead. This might make you wonder: "why is my tooth turning grey?" or "why do I suddenly have blue teeth?" Let's look at the causes for grey and blue teeth, and what you can do to get your smile back to its sparkling white colour.

Causes for Blue or Grey Teeth

Natural Tooth Color

Did you know that teeth naturally come in a range of colours and shades? According to Medline Plus, a service of the United States National Library of Medicine, a natural cause of tooth discolouration is a rare genetic condition called dentinogenesis imperfecta, affecting tooth structure and appearance. The baby and adult teeth enamel can appear blue-grey or yellow-brown, and the teeth may be weaker than average. Also known as hereditary opalescent dentin, this condition is due to a genetic mutation that leads to defective dentin. If you think you might have this condition, talk to your dental professional for a proper evaluation. This condition is rare, so your discolouration could also be due to a different cause.

Early Antibiotic Exposure

According to the Journal of International Oral Health, a publication of the International Society of Preventive and Community Dentistry, exposure to the common antibiotic tetracycline while in the womb or as a young child causes discolouration in adult teeth. Affected teeth develop blue-grey or yellow-brown stains, often in a pattern of horizontal stripes. While these stains are permanent and regular brushing won't improve them, cosmetic whitening options can help. Talk to your dental professional about what treatments might work best for you.

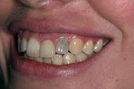
Dental Restorations

Dental restorations, such as fillings, can give the appearance of grey or blue teeth – you may have seen this in your teeth if you have a silver-coloured filling (also known as dental amalgam). That’s because this material, along with glass ionomer, acrylic, porcelain, and metal crowns, may appear blue-grey at the tooth’s surface due to the metallic colour showing through a translucent enamel or porcelain surface. If the grey or blue teeth are due to silver fillings, a dentist can often refill the tooth with a white amalgam.

Dead Teeth

When only one or a few teeth turn grey or blue, it might be because the teeth have died. Though you might think of all teeth as lifeless, at their centre are living pulp and nerves. If trauma or other problems have caused damage, the pulp and nerves can die, and the tooth turns dark pink, grey, or black. If you suspect one or more of your teeth have died, book an appointment with your dental professional. Germs can enter the space at the centre of a dead tooth and cause an abscess. You may need an extraction procedure for a badly decayed tooth, but your dental professional may be able to save the tooth with a root canal. Once your dental professional has identified if a dead tooth is causing your blue or grey tooth colour, they can take steps to restore your tooth’s health and your smile’s sparkle.

Whitening Grey or Blue Teeth

If you are concerned about the colour of your blue or grey teeth, don’t worry – you have treatment options. Though whitening treatments often work best on yellowed teeth, they may improve the appearance of naturally blue or grey teeth. Your dental professional can explain the results you can reasonably expect from in-office or at-home treatments. Whitening treatments can also improve the colour of a tooth that has died.

However, tetracycline-affected teeth often bleach unevenly. For these teeth and deep grey or blue teeth, crowns or veneers may give a better result. Whatever the shade of your teeth, maintaining excellent oral care is a must if you want to continue to build a bright and healthy smile. That means brushing twice daily with fluoride toothpaste and a soft-bristle toothbrush. You could also consider whitening toothpaste. Also, clean between your teeth daily with floss, water flossers, or another interdental cleaning device. Maintaining excellent oral care helps prevent all forms of staining, as well as cavity-causing germs.

It's easy to become self-conscious about your teeth when they aren't white but a grey or blue color. Luckily, treatments are available – set up an appointment with your dental professional so that they can identify the cause of your grey or blue teeth and recommend the best steps to get a healthy, confident, sparkling smile.

(07/24/2023)
by Colgate

More Information: N

Views: 595
Share


My BEST Dentists Journal Headlines