My BEST Dentists Journal

All Journal Entries
Share

What Causes Submandibular Gland Swelling?

Most of us treat our salivary glands with an "out of sight, out of mind" mentality. But if something goes wrong with them, we'll quickly notice the problem. We rely on these glands to supply the saliva we need to chew, swallow and speak and to wash food debris away from our teeth. Submandibular gland swelling can be associated with dry mouth, infection and other conditions. However, most causes of gland swelling can be treated.

Where Are the Submandibular Glands?

Firstly, what is the submandibular gland? There is one walnut-sized submandibular gland on each side of the face, just in front of the curve of the lower jaw at the back of the mouth. Along with your other salivary glands, these glands supply saliva that contains enzymes to help break down food and minerals that reduce the damaging effects of food acids on your tooth enamel. Saliva also makes the food you chew wet and easy to swallow.

Causes of Submandibular Gland Swelling

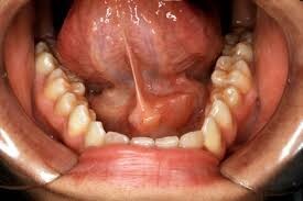
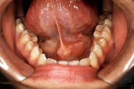
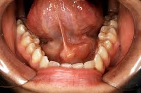
If you feel swelling underneath your lower jaw, it could be a swollen submandibular gland. Swollen submandibular glands are usually caused by tiny stones blocking the ducts that channel saliva into the mouth. According to the Merck Manual, these stones can develop from the salts in saliva, especially if a person is dehydrated. When a stone blocks a salivary gland, a condition known as sialolithiasis, an individual may experience swelling and pain over the affected gland. Why these stones form isn't clearly known, though they can be associated with liver disease and gout. According to The Journal of Medical Research, sialolithiasis is the most common salivary gland disease, and the submandibular gland is affected in 83 percent of cases.

Salivary gland infections can result from blocked ducts. In these cases, swelling of the gland may be accompanied by redness and pus.

More rarely, salivary gland swelling occurs due to a tumor. Merck Manuals explains that swelling caused by a cancerous or noncancerous tumor on the salivary glands may be firmer than swelling caused by an infection. A cancerous tumor will likely be very hard and fixed to the gland tissue, while a noncancerous tumor may be movable.

See your dentist to determine what's causing your submandibular gland swelling. They will help you put an effective treatment plan in place.

Treatments for Swollen Salivary Glands

Early treatment of a swollen salivary gland — particularly when caused by a stone — could save you from developing an infection. The National Health Service recommends increasing your saliva production by drinking plenty of water and chewing sugar-free gum. The Government of Alberta suggests gently massaging the stone to help dislodge it.

If you are unable to treat it at home, your doctor or dentist may be able to push the stone out by pressing the submandibular gland or pull it out by using a small instrument, according to Merck Manuals. In rare cases, the stone may need to be removed surgically. If you suffer from a condition that causes salivary gland stones, receiving treatment to alleviate other symptoms may also reduce your risk of developing stones.

If you have an infection in your submandibular gland, your doctor can prescribe antibiotics and, if necessary, drain any pus from an abscess. Swelling caused by a tumor can be addressed by removing the tumor through a surgical procedure. Cancerous tumors should be treated urgently and will likely require monitoring.

To ease the pain of submandibular gland swelling, apply a warm compress to the gland area and rinse your mouth with salt water.

How to Prevent Salivary Gland Swelling

Maintaining a thorough oral care routine reduces mouth bacteria and is an effective first step in preventing swollen salivary glands. Increase your water intake and avoid smoking and using chewing tobacco, because these habits may increase your risk of mouth infections.

Submandibular gland swelling may be caused by a blocked salivary gland that can be easily treated. However, make sure to see your doctor or dentist for an accurate diagnosis to assess this oral care condition.

(09/11/2023)
by Colgate

More Information: N

Views: 928
Share


My BEST Dentists Journal Headlines