My BEST Dentists Journal

All Journal Entries
Share

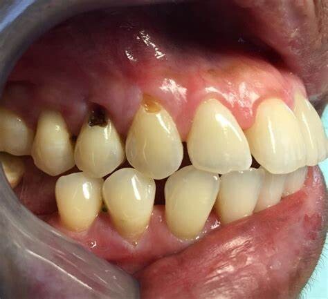
What Is A Gumline Cavity?

If you’ve recently joined the cavity club or are worried you may be a future member, know that you’re not alone. Tooth decay is so common that the  Centers for Disease Control (CDC) report that it affects nine out of ten people over the age of 20. While receiving a cavity diagnosis is never the ideal experience, it’s important to learn about the common causes, treatments and prevention tactics that can help stop it from worsening or lessen the risk of future cavities.

Causes of Gumline Cavities

A dental cavity forms when plaque, a sticky bacterial film that builds up inside the mouth, solidifies and creates an area of decay. This bacteria combines with sugar to produce acids that dissolve the tooth's enamel, the hard surface that works as a protective layer against tooth decay. And when this protective layer begins to wear, different types of cavities have the potential to form.

Have you ever wondered what areas of the mouth are most prone to tooth decay? Well, not all teeth are created equal. Plaque tends to accumulate more easily in certain areas. For example, the back teeth' pits and fissures (molars) are a hot spot for plaque and the spaces in between the teeth. Plaque also builds up easily along the gumline, and when this plaque isn't removed, a gumline cavity can form.

Gumline cavities can also be associated with exposed tooth roots. Gum tissue usually protects the roots, but the roots will be vulnerable if the gum tissue recedes. That's because roots are covered in a material called cementum, which is much weaker than tooth enamel.

Treatment of Gumline Cavities

As outlined by Mayo Clinic, there are several standard treatments for cavities, the most common, a filling. To create a filling, a dental professional numbs the surrounding area of the problematic tooth, drills, or lasers to remove the decayed material, and then fills in the hole with a protective material like composite resin or dental amalgam.

Tooth decay at gumline treatment is similar to other cavity treatments, but with some small differences. If the cavity extends beneath the gumline, it can be challenging for the dental professional to access it with their drill or laser. In these situations, your dentist may perform minor gum surgery to access the cavity.

How to Prevent Gumline Cavities

Toothbrushing

While there's no such thing as guaranteed gumline cavity prevention, you can take daily, consistent steps to fight them. The best way to prevent cavities is to brush your teeth at least twice a day. Remember to brush along your gumline with a proper brushing technique that involves placing your toothbrush at a 45-degree angle to your gumline and using a back-and-forth motion to brush along each tooth. Once the gumline area is clean, move on to the rest of the tooth surfaces for complete cleaning.

Interdental Cleaning

For the hard-to-reach plaque around your teeth and gumline, a daily routine of flossing will also help to prevent cavities. To floss beneath your gumline, curve the floss around each of your teeth' base and make sure to be gentle to avoid cutting or bruising the gum tissue. Water flossing is an excellent alternative to flossing, while mouthwash should also be added to your daily oral health routine to rinse out bacteria.

Professional Teeth Cleanings

And like all preventative health measures, a regular dental checkup is paramount to your overall oral health. A dental professional can thoroughly clean your teeth and remove plaque and tartar from along the gumline that you could not remove with your at-home measures. They can then thoroughly examine your mouth and look for conditions like gum recession that could put you at risk of gumline cavities.

No one enjoys receiving the news of a cavity at the gumline diagnosis. Still, the more you know about this specific type of tooth decay - its causes, prevention, and treatment - the more confident you'll feel with whatever next steps your dental professional recommends. With an excellent oral hygiene routine and help from a dental professional, you can reduce the chances of a gumline cavity or proactively treat it if recently diagnosed.

(11/22/2024)
by Colgate

More Information: N

Views: 464
Share


My BEST Dentists Journal Headlines