Dentists Journal

Top Ten Stories of the Week
7/29/2023

All Dentists Journal · Previous Week · This Week · All Time List · Headlines

Share

Dental Plaque and Tartar: Causes, Prevention, and Removal

What Is Dental Plaque? 

Have you ever wondered what the plaque on your teeth actually is? Dental plaque, also known as tooth plaque, microbial plaque and dental biofilm, is a soft, sticky film that builds up on your teeth. Plaque is an extremely sticky, colorless to pale yellow deposit of biofilm that regularly forms on your teeth. When saliva, food, and fluids combine they produce bacteria deposits, which collect where the teeth and gums meet. Plaque contains bacteria, which produce acids that attack your tooth enamel and can damage your gums. If not treated, the damage could become permanent.  It contains millions of bacteria that feed on the food and drinks you eat every day. If bacteria deposits from plaque on teeth aren’t removed through regular brushing and flossing, they can cause tooth decay, gum disease, and tartar buildup.

Dental Plaque Leads to Tartar Buildup 

Over time, if plaque isn’t removed on a regular basis, minerals from your saliva are deposited into the plaque biofilm causing it to harden within 24 to 72 hours, turning into tartar. And while you can remove plaque at home, tartar removal requires the help of a dental professional.   Did you know 68% of adults have tartar? Tartar, also called dental calculus, is a yellow or brown colored deposit that forms when plaque hardens on your teeth. Because tartar buildup on teeth is strongly bonded to the tooth enamel, it can only be removed by a dental professional. You have a greater risk of developing tartar with braces, dry mouth, crowded teeth, smoking and aging. Individuals vary greatly in their susceptibility to tartar buildup. For many, these deposits build up faster with age.

What Causes Dental Plaque and Tartar?

When saliva, food, and fluids combine in your mouth they produce an environment that allows the bacteria to grow and deposit which collect on teeth and gums and especially where the teeth and gums meet. Common foods that contribute to plaque formation and growth include those containing carbohydrates, or simple sugars, such as sucrose and starches, found in soft drinks and candy.  Eating foods high in sugar like cakes, sweets, and fruit can cause an increase in plaque bacteria. Plaque bacteria can lead to gingivitis, caries and advanced gum disease, so it is important to take steps for treatment and prevention.  Plaque hides between teeth and under the gum line. There’s no way to avoid it entirely so it’s important to maintain a good oral routine to keep it from accumulating.  Certain foods, especially carbohydrates (foods containing sugars or starches), are big contributors to plaque growth such as milk, soft drinks, cake, and candy.

Spotting the Early Signs of Plaque On Teeth

Plaque can be a pale yellow color, but it can also be colorless making it difficult to see. That’s why it’s important to maintain good oral hygiene and see your dental professional every 6 months for a checkup. They may use dental mirrors to spot plaque in hard to see places, and scrape the plaque between your teeth with a dental scaler. Every set of teeth is unique, so ask your dentist for brushing and flossing tips to help address plaque buildup.    If you want to know whether you’re removing plaque properly from home, try staining it using plaque disclosing tablets, available at your local drug store. By staining and exposing plaque, it’s easy to tell where you may need to do a better job of brushing and flossing so you can effectively remove plaque at home. The tablets’ stains can easily be brushed away.

Conditions Related to Dental Plaque and Tartar

So why is plaque a problem? If you don’t take the steps needed to prevent and get rid of plaque, it may lead to:

Cavities: the acids produced by the bacteria in plaque can cause low pH level and can eat away at your tooth enamel.

Gingivitis: Accumulation of plaque bacteria can cause inflammation of the gums.

Bad Breath: Plaque buildup from poor dental hygiene can also cause your breath to smell bad.

Steps to Prevent Plaque and Tartar Buildup 

Staying on top of your oral health and preventing plaque buildup on teeth is the best way to prevent tartar. To help prevent tartar, be sure to brush your teeth and use mouthwash at least twice daily, preferably with a tartar-control fluoride toothpaste like many from Crest, and floss once a day. And visit your dental office regularly for oral exams and cleanings. Crest can also help with the right products for your routine.

Visit your dentist every 6 months. Adults who see their dentists regularly are less likely to have plaque related dental diseases.

Choose an anti-plaque fluoride toothpaste.

Floss daily to remove food particles and plaque between teeth. To prevent the buildup of plaque, be sure to floss once a day with a product like Glide Floss and brush your teeth at least twice a day with a fluoride, anti-plaque toothpaste, like Crest Pro-Health Toothpaste. 

Get an electric toothbrush, and remember to replace the head every 3 months. Use a quality toothbrush, such as any manual or rechargeable toothbrush from Oral-B and remember to replace it every three months or as soon as the bristles look worn. 

Avoid smoking to reduce the risk of increased plaque and tartar.

Dental Plaque and Tartar Removal

There are two main methods to removing the plaque on your teeth: using the mechanical motion of brushing and flossing, to remove plaque, and exposing plaque to anti-bacterial ingredients to kill and help keep it from growing back. If you’re looking for a comprehensive routine as well as at-home methods, see our steps below. 

Brush your teeth even better: An electric toothbrush is one of the most effective ways to get rid of plaque. Be sure to brush for at least 2 minutes, twice a day, every day. Remember to replace the brush head of your electric toothbrush every 3 months.

Don’t skip the floss: It’s easy for food to get stuck in your teeth, and if you don’t floss daily, bacteria can develop, and you’ve got plaque. Brushing alone can’t cover every space in your mouth, so learn how to floss properly. 

Use an anti-plaque toothpaste. Anti-plaque fluoride toothpastes are great way to up the ante in your fight against plaque.

Rinse with a mouthwash that helps fight plaque. It helps kill bacteria and prevents plaque regrowth.

Tartar buildup on the other hand bonds strongly to enamel and must be removed by a dental professional, which is why it’s so important to be proactive and remove plaque before it becomes a problem. If you start seeing any signs of tartar buildup, be sure to see your dental professional.

 

(07/22/2023)
by Crest

More Information: https://crest.com/en-us/oral-care-tips/tartar-and-plaque/plaque-tartar-causes-prevention-removal


Views: 596
Share
Share

Seven Tips to Get You in the Habit of Brushing Your Teeth

MOTIVATING TOOTHBRUSHING

While dental exams and cleanings are essential to oral health care, your at-home oral hygiene also plays a significant role. Brushing, flossing, nutrition, and oral habits can keep your smile healthy and prevent dental emergencies.

But brushing your teeth can be a chore. It can be challenging to build good oral habits when you have a packed schedule or are too tired at bedtime. So what can you do to motivate better at-home oral care? Here are 7 tips to get you in the habit of brushing your teeth.

WHY BRUSHING YOUR TEETH MATTERS

You know brushing can clean your teeth, but that’s only the beginning of the benefits. Brushing your teeth removes bacteria and dental plaque. Over time, plaque hardens into dental tartar or calculus, creating yellowish stains on teeth. Tartar erodes the tooth, leading to tooth decay and gum disease.

Brushing your teeth is also helpful for freshening your breath. Bad breath is typically the result of the food you eat or the medications you take. However, poor oral hygiene can lead to persistent bad breath. 

It’s also crucial to clean your tongue, as bacteria ad plaque can collect on the surface. Although some patients find tongue scrapers effective, a classic toothbrush can also work.

Brushing your teeth can protect your oral health and overall health. It can also help the appearance of your teeth and the smell of your breath so that you can feel confident about your smile.

TIP 1: SET A REMINDER

Organizing your schedule, or triggering your memory, can be easier when you set an alarm. You may set a reminder on your phone, smartwatch, or even a classic alarm clock. Then, whatever device you find most handy, prioritize bedtime brushing.

Recommendations for how often you should brush vary, but typically dentists recommend twice daily—but brushing after every meal offers the most benefits for oral health. However, if you’re struggling to brush multiple times a day, brushing at bedtime—after your last meal or snack—helps ensure you don’t leave any food debris overnight.

TIP 2: BUNDLE ACTIVITIES

If you forget to brush your teeth consistently, it may be because you’re doing the task alone. Consider other daily tasks, like brushing your hair, washing your face, or taking a shower. 

For example, suppose you brush your hair every morning. Now, you’ll decide that you’ll first brush your hair, then brush your teeth. Or, maybe you want to brush your teeth before washing your face, so any toothpaste smudges are washed away afterwards. You may even say the order out loud or create a list to post on your bathroom mirror.

TIP 3: PLACE A BET

Money can be a powerful motivator. So instead of a swear jar, create a toothbrush jar. When you remember to brush your teeth, reward your success by adding a predetermined monetary amount to your jar. However, there’s a part 2 that raises the stakes. Every time you forget to brush, you have to donate the money you’ve collected to charity.

You can set the bet time to whatever works best for you, such as one month or 6 months. You can also add rules. For example, you may decide you need 3 strikes before donating to charity. Or maybe brushing your teeth consistently after a miss means you regain the money. Decide on rules that motivate you.

TIP 4: BRUSHING BUDDIES

The buddy system can help motivate many healthy habits. For example, you’ve probably heard of a workout buddy and the same works for oral hygiene! If you live with a family member, spouse, or partner, brush your teeth together. 

 

When someone expects you, you’re more likely to show up and complete the task consistently. They can also encourage you when you succeed.

TIP 5: MAKE IT FUN

If brushing your tooth is a chore, turn it into something you look forward to doing. Maybe you choose a funky toothbrush, buy great-tasting toothpaste, or play music. Perhaps it’s your time to combine toothbrushing with a fun activity, like catching up on messaging friends or reading an article.

TIP 6: RECORD YOUR JOURNEY

Sometimes having evidence can help you stick to your routine. For example, maybe you write down every time you brush, take a photo for your favourite social media platform, or text your success to a friend. If you enjoy journaling, consider completing an entry about when and why to learn more about what works best to motivate yourself.

TIP 7: VISIT YOUR DENTIST

You can learn a lot about your dental health when you visit your dentist for a dental exam or routine cleaning. Pay attention to how many spots your dentist puts on their watch list because your daily brushing can reduce the risk of developing cavities and gum disease.

Needing a filling, crown, or other dental work can also be a significant motivator to develop better oral habits. Having healthy teeth and gums can save you time and money. So the next time you skip brushing your teeth, remind yourself about any previous dental work or watch spots.

(07/22/2023)
by Maplebrook Dental

More Information: https://maplebrookdental.ca/7-tips-to-get-you-in-the-habit-of-brushing-your-teeth/


Views: 543
Share
Share

Five Easy Ways To Stop Decay And Keep Cavities Away

If it’s been years since you’ve seen your dentist for a professional teeth cleaning, or if you routinely fall asleep without brushing your teeth, you may be at risk for tooth decay. 

Book an appointment with your without delay and keep reading for five easy ways you can stop tooth decay in its tracks and keep cavities at bay while you’re waiting for your next appointment.

1. Take care of your teeth

Cavities form when acid-causing bacteria accumulates on your teeth and gums. Over time this bacteria wears down your enamel and eats away at your teeth until you find yourself with no choice but to book an appointment for a root canal with your local Edmonton dentist. Brush your teeth for two full minutes, twice a day and floss every night before you go to sleep. This will wash bacteria away and prevent tooth decay from taking over.

2. Opt for fluoridated pastes and rinses

When choosing a toothpaste and mouthwash, be sure to opt for products that contain fluoride. Fluoride is a naturally occurring mineral that’s been proven to be highly effective at preventing cavities by strengthening your enamel and lowering the amount of acid present in your mouth.

3. Nourish your body

Opting for foods that are dense in vital nutrients can go a long way towards repairing your teeth and preventing cavities. Not only will you nourish your body, which can improve your overall health, but by eating nutrient-dense foods, you’ll give your body all the fuel it needs to keep your teeth in tip-top shape. 

4. Avoid sugar

One of the best things that you can do for your teeth, and for your health in general, is to avoid eating sugary or starchy foods as much as possible. Sugars and starches feed the acid-forming bacteria inside your mouth and can speed up the process of tooth decay and gum disease. 

5. Get regular checkups

Make an appointment for a checkup and thorough teeth cleaning with a family dentist from Janz Family Dental in Edmonton today. Regular checkups are one of the best ways to protect your oral health and spot minor problems before they become major conditions.

(07/21/2023)
by Janz Family Dental

More Information: N


Views: 494
Share
Share

Seven Best Things You Can Do for Your Teeth

More Than Just Brushing and Flossing

You know brushing and flossing are non-negotiable when it comes to your teeth, but what else can you do to maintain good dental health? Just as with the rest of your body, prevention is the best medicine. In addition to your toothbrush and floss, there are a handful of other things that keep plaque, cavities and tooth decay at bay. Follow these simple steps to give your teeth some extra TLC.

1. Chew Sugarless Gum

Lingering acid, which accumulates in your mouth after eating, wears down enamel and leads to tooth decay and sensitivity. Popping in a piece of sugar-free gum after eating rids your mouth of lingering food bits and increases the flow of saliva, which neutralizes and washes away that acid. In addition to cleaning things up, saliva also provides teeth with calcium and phosphate, minerals that help strengthen them. It takes just 20 minutes of chewing for these positive effects to apply.

2. Add Cheese

Cheese and other dairy products help prevent tooth decay and maintain good dental health. Cheese contains nutrients that are crucial for maintaining strong teeth: phosphorus, calcium and casein. Together, these create a protective protein film that covers the enamel on your teeth’s surface, shielding them from decay. Like sugar-free gum, cheese stimulates saliva production, keeping your mouth clean and acid under control. Sprinkle some cheese on your salad or add a slice to your sandwich to boost your oral health.

3. Focus on Fiber-Rich Fruits and Veggies

A low fiber intake has been linked to an increased likelihood of tooth loss later in life. Keep your teeth firmly rooted by regularly consuming fiber-rich fruits and veggies, like raspberries and artichokes. Their natural sugars and starches stimulate saliva, neutralizing acid and enzymes that break down teeth, and defend against cavities. These foods also restore minerals to worn-away areas of your teeth and generally keep your mouth clean, so stock up next time you’re in the produce section.

4. Drink Tea

Black and green teas contain polyphenols, powerful antioxidants that bolster your dental health. Taking in tea has been linked to decreased plaque buildup on your teeth—keeping them clean, strong, and less prone to cavities—and they also help prevent bad breath. Long term, regular intake of green and black tea is known to help protect against oral cancer, too. So get the most out of your caffeine boost by brewing one of these potent teas. Rinse or brush after enjoying that cup of tea to prevent teeth discoloration.

5. Add Supplements

Just like with your bones, vitamin D and calcium keep teeth strong. Getting your daily dose improves tooth retention and decreases the likelihood of cavities and tooth decay. One study showed that adults who took calcium and vitamin D supplements were 40% less likely to lose their teeth, even two years after the study ended. Make it a priority to swallow 1,000 milligrams of calcium and 600 IU of vitamin D each day to reap these nutrients’ benefits.

6. Use Antimicrobial Mouth Rinse

A mouthwash is antimicrobial when it contains ingredients that kill and prevent the growth of bacteria on and around teeth. Adding this type of rinse into your morning-and-night routine is known to reduce plaque buildup—a thin film of bacteria that forms on your teeth—which leads to decay. Regular use of a mouthwash also keeps your breath fresh. Look for one with an American Dental Association (ADA) seal on it, such as Listerine or Tom’s of Maine.

7. Avoid These Harsh Habits

Keeping healthy teeth also means steering clear of damaging foods and activities. The following could be sneakily sabotaging your enamel:

Sour candies: Just because they’re not sweet, doesn’t mean they’re not harmful. Sour candy has a low pH, which erodes teeth.

Diet soft drinks: These are highly acidic, weakening enamel and paving the way for decay.

Opening things with your teeth: Enamel may be the hardest substance in the body, but it can still chip and break, and it never grows back.

(07/21/2023)
by Health Grades

More Information: https://www.healthgrades.com/right-care/oral-health/7-best-things-you-can-do-for-your-teeth


Views: 437
Share
Share

Three Questions To Ask Your Dentist During Your Next Visit

We are constantly being reminded about the importance of routine dental exams and that we should brush our teeth at least twice a day. However, oral health is so much more than checkups and brushing. Did you know much of our overall health is linked to our oral health?  Our team at Simply Wellness Dental encourages patients to ask questions, especially if you have any concerns. Here are a few questions you should ask your dentist during your next routine visit!

How Can I Improve My Oral Hygiene?

Dentists aren’t with you at home to observe your everyday habits that affect oral health which is why it’s important to know how to take care of your smile yourself. Maintaining good nutrition will help strengthen your gums and teeth. Stray from sugary snacks and drinks, as they can cause tooth decay. Limiting alcohol and eliminating tobacco can improve your smile’s appearance, as it causes stained teeth and gum line recession. Being mindful of your mouth will allow you to spot anything out of the ordinary such as gum sensitivity, sores that heal slowly, or constant bad breath.

What Can Be Done About My Tooth Sensitivity?

Your daily dental routines should not be a challenge or cause any pain. Even if you feel the slightest bit of discomfort, make sure to tell your dentist. Tooth sensitivity can be caused by overzealous brushing, tooth grinding, certain treatments you may be undergoing, or gum disease. Depending on the cause, your dentist will be able to give suggestions on how to relieve it.

How Can I Improve My Smile?

Whether it’s tooth whitening or Invisalign you are seeking, don’t be shy to ask your dentist these questions. They are there to provide optimal care. Your dentist can spot oral problems early on and prevent them from becoming more severe. They can also give you the beautiful smile you’ve been dreaming of. From cosmetic dentistry services to Invisalign, we are here for you and your smile!

Being proactive about your dental health could save you time and money, and even prevent periodontal disease.

(07/23/2023)
by Simply Wellness Dental

More Information: N


Views: 450
Share
Share

Reasons Why You Get A Metallic Taste In Your Mouth

“Why does my mouth taste like old pennies?” Have you ever had that metallic taste in your mouth? To when you almost expected to find a 1975 penny buried somewhere in your oral cavity? It’s weird, yes, but it’s also quite common.

According to Dr. Michael Rabovsky, Chairman of the Department of Family Medicine and Vice Chairman of the Medicine Institute at the Cleveland Clinic, the cause of metal mouth is usually harmless. Of course, this is not always the case, as we’ll get to in a moment.

In this article, we’re going to discuss five main reasons – and a few others – why you get metal tang on your palette. We’ll wrap things up by explaining how you can manage and prevent the metallic taste in your mouth.

“Dysgeusia”

The taste of metal in the mouth is a known medical condition called dysgeusia, a distortion of the sense of taste. Dysgeusia may come on suddenly or gradually and may be acute or chronic in duration. Additionally, there are two other taste disorders: ageusia, the absence of taste, and hypotenuses, the “decrease in taste sensitivity.” Concerning the latter, recent research, published in the journal Prevention in Clinical Oral Health Care, cites aging as a primary cause.”

Physiologically, a metallic taste and other taste disorders surface from changes to the olfactory sensory neurons. Through interaction with the taste buds, olfactory neurons help produce the sense of taste. The nerve endings in your taste buds communicate with sensory neurons in your brain to identify the taste of foods and beverages. As with any mechanism involving complex messaging of the senses with designated parts of the brain, one’s sense of taste is a combination of various processes. Because of this complexity, things can – and do – go wrong.

Though having a condition altering your sense of taste may not seem altogether harmful, dysgeusia can be both difficult to manage and stressful. Further complicating matters is that fact that solving impaired sense of taste is very difficult. To be more specific, pinpointing the cause as either diminished sensitivity or distorted perception is a considerable medical challenge. Because of this, accurate diagnosis and treatment can be evasive.

Five reasons you get that metallic taste in your mouth

“An altered sense of taste can cause patients to self-manage in ways that are detrimental to their health.” – Jeanette Y. Wick

Chemotherapy

Chemotherapy is the treatment of diseases, particularly cancer, using chemical substances (usually medication). Impaired perception of taste is quite common for patients receiving chemotherapy treatment, with around 56 percent of patients reporting symptoms.

Dysgeusia is even more common in patients undergoing radiotherapy and chemoradiotherapy, with 66 percent and 76 percent of patients reporting symptoms. It may take as long as three to four weeks for the former group to experience said signs.

Chemotherapy medications may produce changes in the body resulting in a metallic taste. Drugs known to induce a metallic taste include cisplatin, cyclophosphamide, nitrogen mustard, and vincristine. Other related causes of dysgeusia include nerve damage from radiotherapy, mucosal infections, and tumor location.

The metallic taste produced by chemotherapy is particularly troublesome and may lead to malnutrition and weight loss if not properly managed. As such, patients may wish to alter their routine by doing one or more of the following:

Adding or cooking with herbs and spices, which may add more flavor

Consuming acidic drinks, e.g., lemon juice or orange juice

Delaying food or drink intake for 2-3 hours following treatment

Eating with plastic utensils instead of silverware

Eating chilled or frozen foods

Using condiments such as chili/hot sauce, barbeque sauce, ketchup, teriyaki sauce, etc. to add flavor

Zinc deficiency

Zinc deficiency is perhaps the leading cause of metal taste in the mouth – and potentially the most overlooked. Found in cells throughout the body, zinc plays critical roles in cell division, cell growth, digestion of carbohydrates, and wound healing. Researchers estimate that zinc deficiency affects about 17 percent of the world population – including 35 to 45 percent of adults over the age of 60.

Sometime in the last 20 years, scientists began to discover and study the effect of zinc on smell and taste. It turns out that the metal zinc has an intricate relationship with the olfactory nerves and taste buds. Concerning the former, medical experts concluded that nasal sprays containing zinc might cause anosmia, the loss of smell. Upon further examining the data, researchers posit that zinc deficiency also causes impaired taste and a metallic taste, although researchers are unsure as to the exact mechanism. Deficiencies of vitamins B12 or D may also produce a metal taste.

Prescription medication

Researchers estimate that more than 300 medications may cause a residual metallic taste. Medicines that produce this taste do so through one of six side effects:

Blockage of the sinuses

Changes to the nerve pathways of the nervous system

The decrease in saliva production

Inhibition of cell division (mitosis), such as in chemotherapy

Impairment of the cranial nerves

Upper respiratory infection

Some of the more popular pharmaceuticals known to produce metal taste as a side-effect include: acetylcholine inhibitors, anesthesia (post-exposure; common in dental anesthetics), antibiotics, anticholinergics, anti-thyroid drugs, Adenocor (adenosine), angiotensin-converting enzyme (ACE) inhibitors; Rocaltrol, Calcijex, or Decostriol (calcitriol), clindamycin (antibiotic), ethionamide, flecainide, gallium nitrate, lithium, lorcainide, metformin, metronidazole, methocarbamol, oncological chemotherapeutics, phenytoin, and tetrofosmin.

By no means is the above listing comprehensive. Make sure to check with your doctor if you are on any prescription medicine and experiencing a metallic taste in your mouth. Also, many of the drugs mentioned above are specialized and only prescribed for particular medical conditions. As such, seek the advice of your healthcare professional before altering your dosage.

An underlying medical condition

Known medical conditions that may produce a metallic taste in the mouth include Bell’s palsy, cancer, CNS disorders, common cold, diabetes, ear infections, head injury and trauma, gingivitis, kidney or liver problems, periodontitis, and respiratory or sinus infection.

While any of the above conditions may produce dysgeusia (or parageusia) as a side effect, the most common medical conditions those that act on the ear, respiratory system, and central nervous system (CNS). Women in the early stages of pregnancy may notice changes to smell and taste, including a metallic taste.

Poor oral health

Finally, not properly caring for your mouth can leave a nasty metal taste. Neglecting your teeth may lead to gingivitis or periodontitis and, eventually, gum disease.

An oft-overlooked aspect of proper oral care is scraping (or brushing) the tongue. Bacteria live on your tongue that may produce a metal taste, as may food particles and other debris. While mouth rinses may kill some surface bacteria and germs, it will not penetrate the surface of the buildup, meaning that you must brush or scrape to eliminate it entirely.

Now, depending on the cause, there is sometimes little that can be done to prevent or avoid the metal taste in your mouth. If the taste is caused by an acute illness, such as a sinus infection or common cold, the issue should go away once the virus has left your system.

All the above in mind, here are a few things that you can do to avoid or temporarily get rid of taste distortion:

Avoid smoking (and stay clear of second-hand smoke)

Brush your teeth thoroughly after eating and drinking

Chew sugar-free gum or use sugar-free mints

Drink water throughout the day (an overlooked method, but effective!)

Experiment with different food types, spices, condiments, etc.

Remember to practice good oral hygiene. Brush and floss at least twice a day and scrape your tongue at least once daily.

Use non-metal cooking, eating, and serving tools

(07/24/2023)
by Power Of Positivy

More Information: https://www.powerofpositivity.com/metallic-taste-in-mouth/


Views: 576
Share
Share

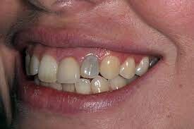
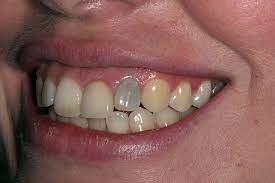
Teeth Turning Grey or Blue: Causes And Treatments

We do a lot to keep our teeth bright, white, and sparkling. Despite our best efforts, we may sometimes see unfamiliar stains or shades on our teeth that aren’t a typical yellow color, but grey or blue instead. This might make you wonder: "why is my tooth turning grey?" or "why do I suddenly have blue teeth?" Let's look at the causes for grey and blue teeth, and what you can do to get your smile back to its sparkling white colour.

Causes for Blue or Grey Teeth

Natural Tooth Color

Did you know that teeth naturally come in a range of colours and shades? According to Medline Plus, a service of the United States National Library of Medicine, a natural cause of tooth discolouration is a rare genetic condition called dentinogenesis imperfecta, affecting tooth structure and appearance. The baby and adult teeth enamel can appear blue-grey or yellow-brown, and the teeth may be weaker than average. Also known as hereditary opalescent dentin, this condition is due to a genetic mutation that leads to defective dentin. If you think you might have this condition, talk to your dental professional for a proper evaluation. This condition is rare, so your discolouration could also be due to a different cause.

Early Antibiotic Exposure

According to the Journal of International Oral Health, a publication of the International Society of Preventive and Community Dentistry, exposure to the common antibiotic tetracycline while in the womb or as a young child causes discolouration in adult teeth. Affected teeth develop blue-grey or yellow-brown stains, often in a pattern of horizontal stripes. While these stains are permanent and regular brushing won't improve them, cosmetic whitening options can help. Talk to your dental professional about what treatments might work best for you.

Dental Restorations

Dental restorations, such as fillings, can give the appearance of grey or blue teeth – you may have seen this in your teeth if you have a silver-coloured filling (also known as dental amalgam). That’s because this material, along with glass ionomer, acrylic, porcelain, and metal crowns, may appear blue-grey at the tooth’s surface due to the metallic colour showing through a translucent enamel or porcelain surface. If the grey or blue teeth are due to silver fillings, a dentist can often refill the tooth with a white amalgam.

Dead Teeth

When only one or a few teeth turn grey or blue, it might be because the teeth have died. Though you might think of all teeth as lifeless, at their centre are living pulp and nerves. If trauma or other problems have caused damage, the pulp and nerves can die, and the tooth turns dark pink, grey, or black. If you suspect one or more of your teeth have died, book an appointment with your dental professional. Germs can enter the space at the centre of a dead tooth and cause an abscess. You may need an extraction procedure for a badly decayed tooth, but your dental professional may be able to save the tooth with a root canal. Once your dental professional has identified if a dead tooth is causing your blue or grey tooth colour, they can take steps to restore your tooth’s health and your smile’s sparkle.

Whitening Grey or Blue Teeth

If you are concerned about the colour of your blue or grey teeth, don’t worry – you have treatment options. Though whitening treatments often work best on yellowed teeth, they may improve the appearance of naturally blue or grey teeth. Your dental professional can explain the results you can reasonably expect from in-office or at-home treatments. Whitening treatments can also improve the colour of a tooth that has died.

However, tetracycline-affected teeth often bleach unevenly. For these teeth and deep grey or blue teeth, crowns or veneers may give a better result. Whatever the shade of your teeth, maintaining excellent oral care is a must if you want to continue to build a bright and healthy smile. That means brushing twice daily with fluoride toothpaste and a soft-bristle toothbrush. You could also consider whitening toothpaste. Also, clean between your teeth daily with floss, water flossers, or another interdental cleaning device. Maintaining excellent oral care helps prevent all forms of staining, as well as cavity-causing germs.

It's easy to become self-conscious about your teeth when they aren't white but a grey or blue color. Luckily, treatments are available – set up an appointment with your dental professional so that they can identify the cause of your grey or blue teeth and recommend the best steps to get a healthy, confident, sparkling smile.

(07/24/2023)
by Colgate

More Information: N


Views: 594
Share
Share

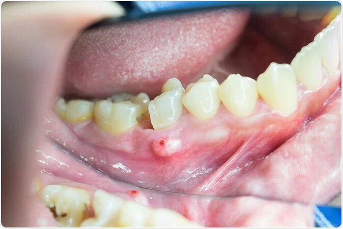
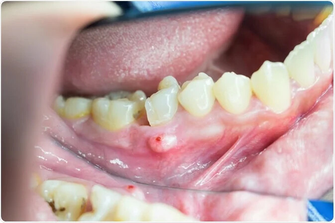
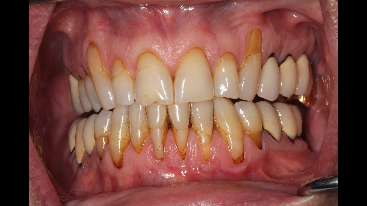
What Causes Receding Gums?

Our gums anchor and hold our teeth in place. They also protect the roots of our teeth from damage, infection, and disease. So it is a concern if our gums shrink back from our teeth. Exposed teeth tend to be sensitive to heat and cold and are more likely to decay. Keep reading to learn more about what causes receding gums and how you can prevent this condition.

The Top Causes of Receding Gums – 4 Known Causes

Plaque, Tartar, and Gum Disease

The main reason why our gums recede is a condition called periodontal disease or gum disease. This is a bacterial infection caused by plaque and tartar build-up on the teeth and gums. Plaque is the thin film of bacteria, food particles, and acids that accumulate over a day and give our teeth a furry feeling. Brushing our teeth twice a day and flossing once a day easily gets rid of plaque. You can also use sugar-free gum and high pH mouthwash to keep plaque under control.

If you don’t get rid of plaque daily, it forms a hard-to-remove substance called tartar. Tartar forms on the gum line and pushes the gums away from the teeth. Although tartar is hard to remove, your dentist can get rid of it during your annual or bi-annual checkups.

Thin Gums

Another reason why you may experience receding gums is if you have inherited thin gums from your parents. Many people that have receding gums were born with thinner gum tissues. For such people, abrasion caused by brushing or flossing can easily cause receding gums. Plaque and tartar also wear down thinner gum tissue faster. Maintaining a proper oral hygiene routine can help reduce the effects of genetics and slow down the shrinkage of gums.

Crooked Tooth Eruption

Receding gums can also result from teeth that erupt outside of the bony housing they should grow from. The bony housing protects the root of the tooth. Teeth that erupt away from this area have unprotected roots. To correct this, dentists can move the incorrectly erupted teeth back to their right position. This allows the gum tissue around the tooth to grow back, hence protecting the roots from abrasion and infection.

Aggressive Brushing

Gums also recede if we brush our teeth too aggressively. Too much brushing or the use of hard brushes can damage your gums and wear out your teeth. It is healthier to use a soft brush gently on the teeth to remove food particles. Also, remember to floss daily to remove food stuck between teeth.

How You Can Prevent Receding Gums

The best way to prevent receding gums is by following a standard oral hygiene routine. Doing so will prevent plaque, tartar, and gum disease – the main cause of receding gums. Brush your teeth at least twice a day, in the morning and evening, using a soft brush and fluoride toothpaste. On top of daily brushing, you should also floss your teeth every evening after your last meal and before brushing.

Finally, visit your dentist at least twice a year for a general check-up and professional cleaning. The dentist will clean out any tartar and check your teeth for potential problems like receding gums. If you already have receding gums, you can get gum disease treatment grafting surgery from your dentist. 

(07/27/2023)
by Carifree

More Information: https://carifree.com/blog/what-causes-receding-gums/


Views: 585
Share
Share

Does vaping affect my gums?

Vaping has become a widespread nicotine consumption, especially among young adults. However, little is known about the effect of vaping on oral health. A new study published in the Journal of Periodontology provides some insights into how vaping affects the gum tissue and can worsen gum disease and oral health.

Some studies linking vaping and gum disease show that smokers are more likely to have periodontal disease than those who do not smoke or vape. Vapers also had more tooth decay and missing teeth than non-smokers. These findings suggest that vaping may have adverse effects on oral health. But more research is needed to confirm these findings and understand how vaping affects oral health.

Can vaping cause receding gums?

Yes, vaping can lead to receding gums due to the toxic chemicals found in e-cigarette liquids. Every puff of a vape pen contains 700 toxins, several of which are known carcinogens and can lead to disease when inhaled. While the long-term consequences of vaping have yet to be studied, it is essential to note that people who also vape generally face higher risks than non-smokers for multiple types of cancer, gum infections and receding gums. Educating oneself on the potential risks and benefits associated with vaping will better ensure one’s well-being in the long run.

Chemicals found in e-cigarettes and their impact on the mouth

Many popular e-cigarette liquids contain propylene glycol, glycerine, benzene, and formaldehyde, which can be problematic for people with pre-existing gum disease and mouth diseases, such as oral thrush or even gingivitis (Inflammation of the gums). Both of these ingredients draw water from surrounding cells and can irritate the soft tissue in the mouth, leading to irritation and inflammation. Additionally, some of the flavours added to e-cigarette liquids may further contribute to any existing oral health issues by irritating the delicate tissues in the mouth in fact, recently The FDA banned many flavoured e-cigarettes in the hope of reducing the rise in vaping among young people.

Therefore, it’s essential to talk to your dentist about using e-cigarettes if you have any existing mouth conditions so that you can make an educated decision about their use.

Can dentists tell if you vape?

Yes, dentists can tell if you vape by looking for signs of it in the mouth. These include dryness or inflammation of the gums, discoloration, and a burning sensation when oral tissues are touched or probed. Additionally, the chemicals found in e-cigarette liquids will leave a specific residue on surfaces like teeth and tongue that can be observed during an examination and on the inside of your cheeks and lips. Additionally, if you vape too often, there may also be a noticeable discolouration in the teeth which will give away that you are a regular vaper. However, even if these signs are present it does not necessarily mean that you have gum disease. It is important to continue to practice good oral hygiene and seek regular check-ups with your dentist to ensure that any issues are caught as early as possible.   

How do you prevent gum disease when vaping?

Preventing gum disease if you vape can be challenging, as the hot aerosol particles from the vaping liquid may not only cause irritation to your gums but also increase your risk of developing infections. If you’re a vaper, it is recommended that you practice good oral hygiene, like brushing and flossing regularly and making sure to thoroughly clean under the gum line area by using an interdental brush bottle brush. To help reduce your risk of developing gum disease, it is also recommended that you visit your dentist regularly for check-ups and receive a professional clean. While these measures will help prevent gum disease, they are not guaranteed, so be extra vigilant in maintaining proper oral care habits.   

Ways to treat gum disease if it does occur

If you, unfortunately, develop a case of gum disease, the best course of action is to visit us here at Perio and Implants immediately. Upon diagnosis, we will be able to offer treatment options that are tailored to your specific needs. Treatments may include deep cleaning, scaling, and occasionally surgery to reduce inflammation and shrink swollen pockets between teeth and gums.

 

To ensure successful treatment results, follow the maintenance advice of our specialists here at Perio and implants closely – this includes essential brushing and flossing routine, using mouthwash, and attending regular cleaning visits at Perio and implants. With proper care and attention combined with treatment from your dentist, gum disease can be treated successfully.

Our Specialist advice:

“Vaping/e-cigarettes can be successfully used as part of a smoking cessation programme accepting that e-cigarettes also carry significant health risks.

 

BUT Vaping /e-cigarette use should not be used by non-smokers as a recreational habit. The risks to your oral health are too high!”

(07/27/2023)
by Perio And Implant Dental

More Information: https://perionimplant.co.uk/does-vaping-affect-my-gums/


Views: 442
Share
Share

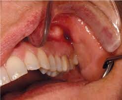
Apical Periodontitis: Causes, Symptoms, and Treatments

A healthy smile involves more than just strong, shiny teeth. Your gums also play an important role in your oral health, and some forms of gum disease can be pretty sneaky. Apical periodontitis, also known as periapical periodontitis, does not always have symptoms but should not be ignored. Find out more about periapical periodontitis and its causes, symptoms, and treatments.

What Is Apical Periodontitis?

Apical periodontitis refers to the inflammation of the periodontium — the tissue that surrounds your teeth. Apical means "relating to the apex," so inflammation usually occurs around the tip — or apex — of the tooth's root. Two types of apical periodontitis exist:

Asymptomatic. Asymptomatic apical periodontitis does not produce any clinical signs or symptoms. However, long-term inflammation can eventually destroy the tissue surrounding the teeth. This type usually develops gradually and is ongoing, which is why it once was referred to as chronic periapical periodontitis.

Symptomatic. Symptomatic apical periodontitis causes pain and discomfort when a person bites down or makes contact with the surrounding teeth. This type of apical periodontitis is usually acute, meaning it comes suddenly and gets worse quickly. However, it can also be chronic.

What Causes Apical Periodontitis?

Typically, apical periodontitis occurs when there's another problem with the tooth. For example, inflammation can develop if a person has an untreated cavity. In some cases, apical periodontitis can develop if the pulp of the tooth becomes infected or dies. Injury or trauma to the tooth can also lead to apical periodontitis.

Because symptoms do not always accompany apical periodontitis, you might not detect it on your own. If you experience pain or discomfort when biting or brushing your teeth, make an appointment to immediately see your dentist. Otherwise, regular dental exams allow your dental professional to note any changes to your oral health and catch asymptomatic inflammation early.

How Do You Treat Apical Periodontitis?

If your dentist notices any inflammation in your gums, they will most likely refer you to an endodontist for treatment. Your treatment depends on what procedures have already been performed and the degree of inflammation. Apical periodontitis treatments could include:

Root canal. In some cases, a root canal can minimize the inflammation of your gums by removing the bacteria and infected tissue from the tooth's pulp.

Apicoectomy. If the infection develops or continues after the root canal, you might require an apicoectomy. During this procedure, the endodontist removes the tip of the tooth's root and infected tissue, then seals the end of the root with a filling.

A proper oral hygiene routine and regular visits to the dentist can help protect your gums from apical periodontitis. If you notice any pain or swelling in your gums, schedule an appointment with your dentist. They can take a look inside your mouth, assess your symptoms, and recommend the appropriate next steps.

(07/25/2023)
by Colgate

More Information: https://www.colgate.com/en-us/oral-health/threats-to-dental-health/what-is-periapical-periodontitis


Views: 609
Share