Dentists Journal

Top Ten Stories of the Week
12/9/2023

All Dentists Journal · Previous Week · This Week · All Time List · Headlines

Share

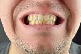
Ten Causes of Yellow Teeth and Solutions for Them

Though not as urgent as other dental conditions, yellow teeth can cost you your confidence and willingness to smile every day. Luckily, improving the color of your teeth can be as simple as changing what you eat and drink while polishing your oral care routine. You may even benefit from whitening treatment by your dentist. Here are ten common causes of this undesirable tinge:

1. Genetics

Sometimes, tooth color runs in the family. If one of your parents' teeth are yellow, it's likely that yours are a similar hue. Reddish brown, reddish yellow, grey and reddish grey are the four natural shades of otherwise white teeth, and this depth of colour varies across a spectrum from light to dark.

2. Dentin

Teeth look yellow when the enamel is thin and the dentin underneath shows through it. Dentin is a deep yellow to brownish material inside your teeth under the enamel, and it's often responsible for the yellow you see when you look in the mirror. Thick enamel covers up the dentin, but keep in mind it doesn't always block the stains that build up on the surface, another cause of yellow explained further down.

3. Wear

Teeth ultimately turn yellow as you get older, when enamel wears away from chewing and exposure to acids from food and drink. Most teeth turn yellow as this enamel thins with age, but some take on a greyish shade when mixed with a lasting food stain.

4. Smoking

Nicotine from smoking doesn't just develop an unhealthy addiction; it leaves yellowish or brownish surface stains on your teeth, too (one more reason to kick the habit).

5. Foods

A wide range of foods stain teeth. Tomatoes in pasta sauce, curry spices and berries all contain pigments that cling to tooth enamel and stain this surface. Even a healthy salad with balsamic vinegar dressing can leave an unsightly color on your teeth.

6. Drinks

Coffee and tea are two of the most common causes of yellow teeth, but red and white wine are also to blame. Other culprits include dark and light sodas and sports drinks with artificial flavoring.

7. Antibiotics

Tetracycline antibiotics stain teeth when they're developing in the gums.

According to a research study published in the Research Journal of Pharmacy and Technology, tetracycline antibiotics are used in the treatment of some common infectious diseases in children and adults. It is most recommended that pregnant and lactating women should not take tetracycline antibiotics, as they bring about discoloration of teeth in primary dentition of the developing foetus in the womb of the mother. Tetracycline and oxytetracycline cause a yellow discoloration, whereas chlortetracycline produces a grey-brown discoloration. Evidence suggests that, of all the Tetracyclines, oxytetracycline causes the least tooth discoloration. Therefore in case of intake of tetracycline antibiotics you may require an in-office bleaching treatment for your stained teeth.

8. Fluorosis

Fluoride is good for teeth, but excess fluoride can cause yellow or brownish yellow spots called fluorosis. Fluoridated water, fluoride toothpaste and prescribed fluoride tablets and treatments are your biggest sources of fluoride. Ask your dentist if you're concerned you or your child is taking too much through these means.

9. Accidents

Impact of an accident or physical trauma can crack tooth enamel and damage the tooth's interior, leading to discoloration that may indicate bleeding that needs professional attention.

10. Grinding

Tooth grinding is an unconscious habit some people have when they're stressed, especially while asleep. Also known as bruxism, it's quite harmful to tooth enamel, weakening it to the point of cracking and yellowing.

Avoiding Yellow Teeth

Brushing, professional cleaning, whitening treatments and veneers should be your go-to solutions for yellow teeth. Thoroughly brushing your teeth twice a day to prevent yellow surface stains is a must. Floss your teeth once a day, as well.

To tackle deeper intrinsic stains, visit your dental hygienist, who can gently clean away this unsightly bacteria and tartar and polish your teeth while you are in the dental chair. When it comes to stains on the enamel, however, prevention is better than the cure.

Don't smoke, and limit your consumption of foods and drinks that cause yellowing themselves. Ultimately, rinse out your mouth with water after eating or drinking them. With so many options available for whitening discolored teeth, there's no reason to feel embarrassed about their color. If you can't fix the problem at home, your dentist would be happy to provide further guidance.

(12/01/2023)
by Colgate

More Information: https://www.colgate.com/en-in/oral-health/adult-oral-care/ten-causes-of-yellow-teeth-and-how-to-avoid-them


Views: 522
Share
Share

Tooth Nerve Pain: Causes, Pain Relief, and Home Remedies

Tooth nerve pain can go from a small ache to a sudden sharp jolt—and experience that’s unbearable to some. Often a result of an exposed tooth root, tooth nerve pain can be brought on by particular foods, drinks, and even while brushing and flossing. Here’s what you need to know to help stop the discomfort, prevent further tooth sensitivity, and when to see your dental professional.

What Causes Tooth Nerve Pain?

The nerves in the teeth are located in the pulp—the bundle of nerves and blood vessels at the center of the tooth. Nerve pain in teeth falls into two categories:

Pulpal Sensitivity: If you have nerve pain that is focused on one individual tooth, the problem is likely affecting the tooth pulp. Causes of the damaged nerve pain in teeth that affect the pulp include a cracked, chipped, or broken tooth, tooth decay or infection, a recent tooth filling, and pressure from clenching or grinding your teeth.

Dentinal Sensitivity: Dentinal sensitivity refers to nerve pain in the teeth that is more widespread. This type of nerve pain in teeth occurs when the tooth enamel (the outermost layer of the tooth) is damaged or eroded away resulting in exposed dentin tubules or channels. These tubules connect to the nerves in the pulp. External stimuli such as heat, cold, and acid, stimulate these tubules resulting in sensitivity. Causes of dentinal sensitivity include use of teeth whitening products, receding gums, and untreated cavities. In addition, brushing the teeth too hard and recent gum surgery that exposes the tooth roots can cause nerve pain in teeth.

Tooth Nerve Pain Relief and Treatments

Depending on the cause of your tooth pain, there are several possible dental procedures that can solve the problem. Two of the most common procedures for tooth pain are fillings and root canals.

Fillings: If you have tooth nerve pain caused by a simple cavity, a filling is the most common dental repair. When you have a tooth filled, your dental professional numbs the area, removes the decayed material, and replaces it with a filling.

Root Canals: A root canal is performed if the nerve pain is due to a tooth that is severely infected or decayed. During a root canal, a dentist removes the damaged nerve and the pulp from inside the tooth, cleans the area, and seals it. The nerves inside teeth are not essential for healthy tooth function, and a root canal will cure some types of tooth nerve pain.

In some instances, the tooth decay may have progressed too far and an extraction may need to be performed. To prevent toothaches caused by decay and reduce your risk of tooth loss, it’s best to follow a thorough oral care routine of twice daily brushing and flossing at least once a day. If you experience tooth pain, be sure to visit your dental professional right away for proper diagnosis and treatment.

Remedies for Tooth Nerve Pain

The area near your tooth may be sensitive before or after your dental procedure, but it’s important to follow a regular oral hygiene routine to prevent additional tooth decay or disease. Try using oral care products designed for sensitive mouths, including Crest Pro-Health Sensitive + Enamel Shield Toothpaste, Oral-B Glide Deep Clean Floss, and Oral-B Glide Comfort Plus for sensitive gums.

If your tooth pain is a result of a teeth whitening procedurÄ™ consider trying a whitening method that does not cause sensitivity like Crest Whitening Emulsions. The breakthrough formula features highly active peroxide droplets in a water-resistant hydrating base to protect teeth from sensitivity. Plus, it swipes on in seconds and delivers a brighter smile, fast.

To maintain a healthy smile, it’s also important to focus on the tooth’s enamel. As enamel demineralizes, your smile can become more vulnerable to sensitivity and tooth decay. Crest Pro-Health Densify Daily Protection Toothpaste rebuilds surface tooth density every time you brush to extend the life of your teeth by remineralizing enamel.

(12/01/2023)
by Crest

More Information: https://crest.com/en-us/oral-care-tips/toothache/tooth-nerve-pain-causes-pain-relief-home-remedies


Views: 576
Share
Share

The Dangers Of Plaque Buildup And How To Protect Yourself

If you’ve seen any toothbrush or toothpaste advertisement, then you’ve heard that plaque accumulation can be detrimental to your oral health. Where does plaque come from, though, and what makes it so bad for your teeth and gums? As you continue reading, your family dentist in Putnam provides some insight and further explains what you can do to protect yourself.

What is Plaque?

The main threat to your oral health is bacteria growth. The microorganisms are always present in your mouth, vigilantly looking for any leftover food or beverage debris to feed on. When the bacteria are fed, they quickly multiply, while releasing caustic fluids that can contribute to tooth and gum decay.

Over time, if allowed to fester, several types of bacteria can join together to form plaque, which is a sticky and clear substance that clings to the teeth and gums. The more time it’s given to develop, the more havoc it can cause.

How Plaque Buildup Affects Your Teeth and Gums

If plaque development is ignored, it can eventually lead to the following problems:

Cavity development

An infected pulp

Gum disease

Gum recession

Tooth loss

Additionally, failing to remove plaque can encourage such health issues as hypertension, heart disease, stroke and several forms of cancer. However, by taking preventive measures, you can better guard against these problems.

Preventing Plaque Accumulation

One of the main ways to prevent plaque accumulation is to practice consistent oral hygiene. This should include brushing for a minimum of two minutes, twice daily. In addition, it’s important to floss every time you brush to remove the hard-to-reach debris that can hide between your teeth.

The foods and beverages you consume also play a major role in fortifying your oral health. Because sugar is the food of choice of bacteria, limiting your consumption of sugary sodas, juices, alcohol, desserts, candy and other sweet treats, will help to stave-off the growth of new bacteria.

A final way to avoid the ills of plaque development is to maintain six-month visits with a dentist for cleanings and examinations. The former will ensure that any existing plaque and tartar can be eliminated before they can cause havoc. Then, the careful checkup will identify any issues so that a plan of action can be created to restore your oral health.

With the end of the year approaching and time running out to maximize this year’s benefits, now is the perfect time to pay your dentist in Putnam a visit. Not only will it protect you from the problems related to plaque buildup, but it will also save you money!

(12/02/2023)
by Quiet Corner Dental

More Information: N


Views: 573
Share
Share

Properly Caring For Your Toothbrush

You would never doubt the importance of regularly brushing your teeth (right?!), but how much attention do you give to your toothbrush itself?

Your toothbrush is actually your first line of defense against cavities, gum disease, and other serious dental problems. By properly cleaning, storing, and replacing your toothbrush, you can encourage long lasting oral hygiene and protect your radiant smile.

How To Clean Your Toothbrush

Though your toothbrush is responsible for removing bacteria from your teeth, it isn’t shielded from accumulating germs of its own. Make sure you take the following steps to keep your toothbrush clean:

Rinse your toothbrush with water after brushing

Set your toothbrush vertically after brushing to help it drain and dry

Never pack away or cover a wet toothbrush since the moisture will cause the growth of microorganisms

As long as you follow these simple steps, your toothbrush will not become a breeding ground for fungus, bacteria, and germs that can make you sick or threaten your oral health.

How To Replace Your Toothbrush

Your toothbrush won’t last forever. Your dentist in Oconomowoc recommends a toothbrush change every three months, since this is when toothbrush bristles start to break down and become inefficient. Even normal wear and tear makes it harder for your toothbrush to remove plaque from your mouth.

It’s also important to replace your toothbrush after an illness. A cold, the flu, a mouth infection, or a sore throat are all reasons to swap your toothbrushes. This reduces your risk of infection and prevents the spread of sickness.

Other Important Toothbrush Tips

Make sure you look for the ADA Seal of Acceptance when purchasing a new toothbrush. The ADA Seal of Acceptance indicates that a toothbrush meets the criteria set forth by the American Dental Association for toothbrush safety and efficacy. The Oral-B Indicator ContourClean Toothbrush, PRO-SYS Tapered Toothbrush, and REACH Advanced Design Toothbrush are all ADA-approved.

(12/02/2023)
by Summit Dental Excellence

More Information: N


Views: 527
Share
Share

Five Reasons Why Your Mouth Is Unhealthy

Oral hygiene isn’t something we consider too often. Aside from brushing our teeth and attending our biannual dentist checkups, we leave our teeth to look after themselves. However, that doesn’t mean that our mouth is in the best shape it can be. There are many reasons why you might have unhealthy oral hygiene. We’ll cover some common issues and warning signs.

Warning Signs

Waiting until symptoms become serious is a mistake. If you go to your dentists twice a year, they should pick up on most problems before they cause any pain. However, some things can happen quickly. If you notice any of the following symptoms, book an appointment with your dentist as soon as possible.

Ulcers, cold sores, or other tender areas in the mouth that don’t heal within a few weeks

Bleeding or swollen gums when brushing and flossing

Chronic bad breath

Sudden onset of sensitivity to hot and cold foods and beverages

Toothache or pain

Receding gums

Pain when eating, chewing, or biting

Jaw clicking

Cracked or broken teeth

Dry mouth

5 Causes of Dental and Oral Diseases

So, what are the five reasons your mouth is unhealthy?

1.   Smoking

Nicotine is notoriously bad for the health of your teeth. Smoke causes discolouration and poor gum health. Gums recede and struggle to heal as less oxygen gets into the bloodstream.

2.   Bad Habits

It’s not enough to just brush your teeth twice a day. Brushing technique and flossing all come into the equation. Two minutes of brushing thoroughly twice a day is the best way to ensure you keep your teeth in top condition.

Moreover, sugary drinks, coffee, tea, or red wine can harm your teeth. Try to drink through a straw and rinse your mouth out with water afterwards.

3.   Family History

Genetics plays a part in oral hygiene. Family background can influence your mouth structure, how susceptible you are to certain diseases, and also certain habits. It isn’t much you can do about your genetics. To mitigate gum disease or tooth decay risks, speak to your dentist about the steps you can adopt and ensure you’re extra vigilant about brushing and flossing.

4.   Medical Conditions

Diabetes and other medical conditions are often responsible for specific mouth issues. People with type 2 diabetes are more likely to develop oral problems and gum diseases than others. High blood sugar levels in the bloodstream lead to more sugar in the saliva, which is the perfect condition for bacteria to build up. Bacteria causes tooth decay and gum disease.

Furthermore, certain medicines can dry your mouth out and further the risk of oral disease. These include antihistamines, decongestants, painkillers, high blood pressure medications, and muscle relaxants.

5.   Hormone Changes

Hormone changes might also impact the health of your mouth, particularly if you’re pregnant. Hormone changes can further the risk of gum disease and pregnancy tumours. Both are significant and need treatment straight away to avoid harming the baby. Pregnant women are also at risk of developing dry mouth (xerostomia), leading to plaque, gum inflammation, and tooth decay.

Moreover, pregnancy can cause behavioural attitudes that might hurt your oral hygiene. For example, food cravings may lead to more consumption of sugary foods. Morning sickness can make it hard to brush your teeth. Plus, the acid from frequent vomiting may be harmful.

Similarly, hormone changes during menopause might increase the risk of gum disease and burning mouth syndrome (BMS).

Types of Dental and Oral Diseases

There are different types of dental diseases. You’ll likely experience one of them within your lifetime, even if you’re extra vigilant about your oral hygiene. Types of oral diseases include:

Cavities

Gum disease (gingivitis)

Periodontitis

Cracked or broken teeth

Sensitive teeth

Oral cancer

Diagnosing Oral Diseases

If you approach your dentist with symptoms you’re concerned about, they will conduct an oral exam. They will inspect your teeth, mouth, throat, tongue, cheeks, jaw, and neck. They may also take an x-ray of your mouth or gum probe.

Treating Oral Problems

Even if you’re on top of your oral care, you’ll still need to attend regular checkups with your dentist. They will be able to point out any warning signs you haven’t noticed, offer treatments, and give advice about the general care of your mouth.

(12/04/2023)
by Toorak Dental Studio

More Information: https://toorakdentalstudio.com.au/5-reasons-why-your-mouth-is-unhealthy/


Views: 509
Share
Share

Bad Habits To Avoid For Healthy Teeth And Gums

As humans, we are regularly developing habits throughout our lifetime, and they aren’t always good ones. Bad habits are quite common, and a lot of them are formed unintentionally. Many times we develop habits that aren’t good for us without being aware of it, but bad oral habits can cause problems, pain, and cost a lot of money to correct.

Being proactive is the best approach if you want to keep your teeth for your lifetime, so make it your mission to practice excellent oral hygiene, routine dental visits, and good oral habits. Here are eight habits to avoid if you want a healthier smile.

1. Biting Your NailsIf you are always biting your nails, your oral health will pay the price. Not only are you spreading harmful bacteria that hang out under your nails, biting non-edible items like fingernails can crack, fracture, or chip your teeth, and even hurt your jaw over time.

Instead: Apply some bitter-tasting nail polishes and work on lowering your stress levels. Awareness and calming your anxiety can keep your nails (and teeth) looking their best!

2. Brushing HarshlyScouring your chompers with harsh strokes can leave them hurting instead of clean and healthy. Rough handling can wear down tooth enamel and irritate the gums, which can end up receding the gums, exposing the layer of dentin below.

Instead: Brush at least twice a day for two minutes with a soft-bristled toothbrush and massage the teeth gently. It will clean the teeth surfaces without damaging them in the process.

3. Clenching and GrindingIf you are constantly clenching your jaw and grinding your teeth (awake or asleep), it can damage your teeth and jaw. This habit is called bruxism, and it often arises from unrelieved stress. It wears down enamel leaving teeth and makes them vulnerable to decay. You may also find yourself with painful jaw or joint pain, or even fractured or chipped teeth.

Instead: Practice relaxation techniques to relieve jaw stress and wear a custom night guard while you sleep.

4. Chronic SnackingWhether you continually snack or sip sweetened beverages throughout the day, both can hurt your teeth. And it’s not just bathing your teeth in sugary pools that can lead to cavities. Snacking on chips and carbohydrate-filled goodies feed your mouth’s harmful oral bacteria, resulting in plaque buildup and tartar that can harm your gums.

Instead: Quench your thirst and protect your teeth with good, clean water. In fact, hydrating with water will also prevent dry mouth by giving your saliva the solution it needs to clear out oral debris and bacteria during the day.

5. Heavy DrinkingRegularly drinking alcohol increases plaque levels in your mouth that ultimately leads to tooth loss. Since alcohol acts as a diuretic, it can reduce saliva flow (which can result in dry mouth).

Instead: Limit your alcohol intake and drink plenty of water in between to hydrate.

6. Ice ChewingChomping on ice cubes might feel good on a hot day, but your teeth are not designed for it (especially when it is habitual and leads to cracks and chips). Both your teeth and ice are crystals, so the effect of rubbing them together can cause tooth damage, even potentially damaging dental fillings.

Instead: Consume your beverages through a straw to keep you from accidentally munching on ice. Be sure not to chew on the straw! Also, try chilling your drinks in the refrigerator beforehand.

7. Kick the Tobacco HabitA tobacco habit not only stains your teeth but inflames your salivary glands so they can’t perform correctly. As if that wasn’t bad enough, smoking leads to bad breath, gum disease, increased loss of jaw bone density, and oral cancer.

Instead: Find a smoking cessation support program that works for you. Your lungs, teeth and gums will thank you!

8. Teeth Are For ChewingYour teeth are not tools! Do not use them to tear off tags, open a bag of chips or hold your pen.

Instead: Stick to biting and chewing your food with your teeth, and use the correct tools to handle everything else.

When it comes to your habits, we encourage you to take extra care of your smile so it will take good care of you! You will reap the benefits of healthier teeth, longer-lasting dental work and a more beautiful smile!

(12/03/2023)
by Family Smiles Dental

More Information: https://www.familysmilesdentalcare.com/blog/bad-habits-to-avoid-if-you-want-healthy-teeth-and-gums/


Views: 416
Share
Share

Ten Signs Your Teeth Need to Be Examined

It is recommended that you visit the dentist routinely for regular dental examinations and professional cleanings. Sometimes, however, oral health problems can occur in between appointments. When this is the case, you should never wait until your next regularly scheduled examination, but should, instead, seek attention from your dentist right away. If you experience any of the following symptoms (or notice other unexplained oral health changes), then we strongly encourage you to schedule an appointment to see your dentist as soon as possible.

10 Signs You Need to See a Dentist Right Away

1. You Have a Toothache

Pain is the body’s way of letting your brain know that something is wrong. If you have a persistent toothache, then this is an indication of an oral health problem. Toothaches can be the result of a variety of issues such as tooth decay, receding gums, an infection, a fracture, or many other issues.

2. You Can’t Get Rid of Your Bad Breath

Bad breath is normal when you first wake up in the morning or after eating pungent foods such as garlic or onions. Bad breath, however, is not normal if it persists. If you feel like you have tried everything (brushing, flossing, and rinsing with mouthwash), but your bad breath will not go away, then it is important to see your dentist or doctor.

Persistent bad breath can be caused by a variety of issues such as dry mouth, periodontal (gum) disease, an infected tooth, a sinus infection, or even bacterial infections of the stomach or respiratory system. Most of these are serious concerns that need to be medically addressed right away.

3. Your Teeth Are Sensitive

If you suddenly start to experience sensitivity to temperature changes or sugary foods, you should schedule a dental examination. Tooth sensitivity can be the result of receding gums (which sometimes occurs due to gum disease). Sensitivity can also be the result of tooth decay and cavities that should be treated as soon as possible.

4. Your Gums Are Bleeding, Swollen, or Painful

Gum tissues that are red, inflamed, bleeding, or painful are symptoms of periodontal (gum) disease, a serious bacterial infection of the gums. In addition to causing issues in the mouth, left untreated, gum disease can result in several, serious systemic illnesses that affect the overall health of your entire body.

5. Your Tooth Is Chipped or Cracked

If you chip or crack a tooth, we encourage you to schedule an appointment right away. Minor chips and breaks can create sharp edges on your teeth that can seriously damage the soft tissues inside your mouth. More severely broken teeth can expose the inside of the teeth to harmful bacteria, leading to an infection of the tooth’s pulp and the need for treatment with a root canal therapy and dental crown.

If addressed right away, however, secondary problems associated with broken teeth can be avoided altogether by treating the tooth with dental bonding (in the case of minor chips) or a dental inlay, onlay, or crown (in the case of a more serious fracture).

6. You Have a Loose Permanent Tooth

Healthy permanent teeth should never feel loose. Whether you’ve incurred an injury or impact to the face/jaw or have a tooth that is loose for no discernable reason, you should visit the dentist as soon as possible. This could indicate serious damage, decay, or disease that is causing the tooth to loosen. This is a symptom that indicates an issue that needs to be diagnosed and addressed right away to preserve your tooth and your well-being.

7. Your Tooth Feels Numb

While pain is a telltale indicator of a problem, a lack of feeling can also mean that something is wrong. Healthy nerves shouldn’t be in pain, but they should always be able to feel. A tooth or area of the mouth that is numb and has no feeling in it could be an indication of a serious infection or other problem that is occurring inside the mouth.

8. There Is Pus in Your Mouth

It’s not a pretty subject, but pus is a sign of a serious bacterial infection, and bacterial infections can be seriously scary if they are not addressed right away. Whether your gums are oozing pus, you notice pus coming from a tooth, or there is pus pooling somewhere in your mouth, you need to seek medical attention as soon as possible for an examination, antibiotics, and further treatment.

9. Your Jaw Hurts or Won’t Open

Having a jaw that won’t open (lockjaw), a jaw that pops, clicks, or grinds when you open and close your mouth, or a jaw that just plain hurts are all signs of a health problem called temporomandibular joint disorder (TMD). While most symptoms of TMD are not emergencies, it can and should be treated by a dentist because the symptoms of TMD can be debilitating.

10. You Have a Sore That Won’t Heal

Sores that won’t heal (in your mouth or elsewhere) can be a sign of cancer or precancerous lesions. These should be checked out by a dentist or your doctor as soon as possible.

Routine dental exams and oral hygiene appointments are intended to help prevent serious oral health problems from developing and to detect and treat them before they become serious enough to cause noticeable symptoms. This proactive approach to dental care not only helps to prevent oral health problems from developing, but it is also usually much less expensive than the cost of treating serious oral health problems after they have progressed.

(12/04/2023)
by Smile Hilliard

More Information: https://www.smilehilliard.com/blog/top-10-signs-your-teeth-need-to-be-examined/


Views: 459
Share
Share

Medications and what they can mean for your mouth

Whether you’re taking prescription drugs or herbal supplements, medication can take a toll on your teeth.

Here are some of the most common side effects.

Dry mouth 

A decrease in saliva increases your risk of oral infections and tooth decay. 

Medicinal culprits: 

Antidepressants 

Antihistamines 

Asthma inhalers 

Diuretics 

Anti-anxiety drugs 

Anticonvulsants 

Decongestants 

Muscle relaxants

Narcotic painkillers

Cavities

Sugar, syrups and other sweeteners in medication can put your teeth at risk. Always read the labels when selecting over-the-counter medicines, and don’t forget to rinse or brush after your dose. 

Medicinal culprits:

Cough syrups

Cough drops

Chewable or gummy vitamins

Antacid tablets

Liquid medications

Overgrowth of gum tissue 

Gingival enlargement causes painful, inflamed gums that grow over the teeth.

Medicinal culprits: 

Anti-seizure medications 

Immunosuppressant drugs given after organ transplants 

Calcium channel blockers (used to treat high blood pressure, migraines and Raynaud’s syndrome)

Mouth ulcers

These painful sores generally appear on the inside of the cheeks.

Medicinal culprits:

Aspirin

Ibuprofen

Beta blockers (used to prevent heart attacks and treat hypertension)

Nicorandil (used to treat chest pain)

Penicillin

Chemotherapy drugs

Enamel stains

Your pearly whites may appear significantly less white as a result of these medications. 

Medicinal culprits: 

Antihistamines

Antipsychotic drugs

Drugs for high blood pressure 

Tetracycline and doxycycline (antibiotics) 

Antiseptic mouth rinses that contain chlorhexidine or cetylpyridinium chloride

Thrush

Yeast infections of the mouth appear as white fungus on the tongue and throat.

Medicinal culprits:

Antibiotics

Birth control pills

Corticosteroids

Loss of bone tissue

By leaching minerals from your bone, some medications can increase your chance of losing teeth.

Medicinal culprits:

Bisphosphonates (used to treat cancer and prevent osteoporosis)

Antacids that contain aluminum

Steroids

Anti-seizure medications

Antidepressants

Hormone blockers (used to treat hormone-linked cancers and endometriosis)

Abnormal bleeding

Blood-thinning medications can cause problems during oral surgery, periodontal treatment or even flossing.

Medicinal culprits:

Aspirin

Antacids that contain aluminum

Anti-stroke drugs

Heart disease medications

What do I do if medications are affecting my oral health?

Talk to your physician about your side effects, and always give your dentist a complete list of medications you’re taking, both prescription and over-the-counter. Your dentist will be able to help you minimize these side effects and prevent damage to your oral health.

(12/05/2023)
by Delta Dental

More Information: N


Views: 579
Share
Share

Dysphagia Treatment That May Ease Swallowing

Occasionally experiencing swallowing difficulty due to a "lump in your throat” is normal. But if difficulty swallowing is an ongoing issue, it may be a sign of dysphagia, a swallowing disorder. Dysphagia is more common in the elderly due to weak throat muscles. Luckily, there are several dysphagia treatment options available depending on the cause and severity of the condition.

Dysphagia Causes

According to the National Institute on Deafness and Other Communication Disorders (NIDCD), dysphagia happens when there is a problem with the structures, muscles, and neural control of the swallowing process. Weak muscles in the tongue or cheek, stroke, another nervous system disorder, surgery, gastroesophageal reflux disease (GERD), tumors, and diabetes can all be causes of dysphagia. In some cases, dysphagia and dentistry have a link, as poorly-fitting dentures or severely decayed teeth can also cause swallowing problems.

Because the causes of dysphagia are vast, finding treatment starts with identifying the category it falls into. According to the Mayo Clinic, there two primary categories are: 

Esophageal dysphagia: This is feeling the sensation of food getting stuck to the base of your throat or in your chest after you’ve started the swallowing process. This is where GERD, tumors, a narrowed esophagus, or built up tissue in the throat may cause dysphagia.

Oropharyngeal dysphagia: This happens when your throat muscles are weak, making it difficult to start the swallowing process. Did you know that the complete swallowing process takes about 50 pairs of muscles and several nerves? In most cases, this type of dysphagia is due to neurological disorders or damage from conditions like stroke, spinal cord injury, Parkinson’s, or multiple sclerosis.

If you think you’re experiencing dysphagia or are having difficulty swallowing, contact your dental or medical professional so that they can evaluate your symptoms and find the root cause.

Dysphagia Treatment Options

Treatment for dysphagia varies based on the severity and cause of your condition. Your dental professional, medical professional, or speech-language pathologist may perform tests to evaluate your swallowing process and find out just where the difficulty is coming from.

A Flexible Endoscopic Evaluation of Swallowing with Sensory Testing (FEESST) uses an endoscope to view your mouth and throat as it responds to stimuli like food and liquids.

A Videofluoroscopic Swallow Study (VFS) involves taking a filmed X-Ray of your swallowing process by having you consume food and liquids. These recorded images help pinpoint where your swallowing problems are coming from and what changes you swallow safely and effectively.

Once your medical professional identifies where your dysphagia is coming from, you can start developing a treatment plan. According to the American Speech-Language-Hearing Association (ASHA), treatment options for dysphagia often help you live and cope with this condition or rehabilitate your swallowing muscles to help build strength.

In cases where dysphagia can’t be solved, eating and swallowing techniques can help you cope with this condition so that it’s less of a burden on your life. Treatments might include tucking your chin or turning your head a certain way to help food travel down the esophagus more efficiently or changing the consistency of the food you eat to help you swallow it with ease.

Rehabilitative approaches to dysphagia treatment aim to improve your swallowing ability, leading to a lasting improvement. Treatments might include exercises that build muscle strength in the face and esophagus or learning a swallowing technique that ensures the airway is blocked off, preventing food from traveling down the trachea into the lungs. Your medical professional may also recommend changing the way you eat. That might include taking smaller bites, chewing more thoroughly, eating softer food, or pureeing food.

Medical and Surgical Treatments

Rehabilitation therapy might be all some patients need to successfully treat swallowing issues but sometimes – namely with esophageal dysphagia –patients may require medical or surgical treatment. Medical treatment can include taking antacids or other medications to control GERD symptoms. If dysphagia is due to salivary control problems or thickened saliva, a medical professional may prescribe medications to manage saliva.

If the swallowing issue is due to a narrow esophagus or a tight muscle in the esophagus, a medical professional may recommend a surgical procedure called myotomy. In this procedure, a surgeon cuts the lower esophageal sphincter muscles, allowing food to travel more easily from the esophagus to the stomach.

Dental Care and Dysphagia

Swallowing problems can sometimes be related to dental issues, such as difficulty swallowing with dentures or trouble swallowing after dental work. Although practicing good oral care won't directly relieve dysphagia, it's crucial to preventing and minimizing swallowing issues. Brush twice daily with fluoride toothpaste, floss daily in between teeth with a water flosser or other interdental cleaning device.

Remember that swallowing is a complex process, and feeling a lump in your throat might be caused by something more serious than a reaction to a sad movie. If you’re experiencing any swallowing issues, reach out to your dental professional to identify possible causes and treatment options –and to get back to a healthier mouth and body.

(12/06/2023)
by Colgate

More Information: https://www.colgate.com/en-us/oral-health/adult-oral-care/dysphagia-treatment-ease-swallowing#


Views: 481
Share
Share

Rotten Teeth: Causes, Symptoms, and Treatment

A rotten tooth can cause a lot of pain, and if your rotten teeth are visible, you might even feel embarrassed. Fortunately, plenty of options exist for fixing rotten teeth. If you are experiencing tooth decay, make an appointment to see your dentist immediately for an examination and treatment. While you wait for your appointment, learn more about the causes, symptoms, treatment, and prevention for rotten teeth.

What Causes Rotten Teeth?

"Rotten" is simply another way to describe teeth that are badly decayed. Tooth decay often occurs from eating sugary or starchy foods and not following a good oral care routine. If your teeth are not regularly cleaned, bacteria create a layer of sticky plaque that builds up on your tooth and gums. These bacteria feed on the sugars and starches in the foods you eat to release acids that erode your tooth enamel. When the enamel wears away, that same bacteria and plaque can attack the softer dentin inside the tooth and eventually the pulp at the tooth's center. In the final stage of tooth decay, an excruciating infection develops in the pulp that can even move into other areas of the body.

What Are the Early Signs of Rotting Teeth?

A cavity can appear on your teeth with no signs or symptoms, so it's essential to see your dentist regularly to check on your oral health and catch tooth decay in the earliest stages. However, as the decay worsens, you might recognize some of these rotten tooth symptoms:

Toothache or pain when biting

Sensitivity to hot, cold, sweet, or sour foods

Brown, black, yellow, or white spots on the tooth

Bad breath or unpleasant taste in your mouth

Gum swelling

If you recognize any of these rotten tooth symptoms, schedule an emergency appointment with your dentist. Don't delay! The earlier you treat tooth decay, the better chances you can save your tooth.

How Do You Fix Rotten Teeth?

What do you do about rotten teeth? Rotten teeth treatment depends on the stage of tooth decay. If you're dealing with a few cavities, your dentist can stop further damage with some fillings. However, if the infection has reached the pulp, you might require a root canal to restore the tooth. When the cavity becomes so large, it weakens the tooth structure; the dentist can create a crown to protect the rest of the tooth.

Sometimes your dentist cannot save badly rotten teeth and must extract them. Your dentist can replace the rotten tooth with an implant or dental bridge. Or, if you need an entire set of upper or lower teeth, dentures are also an option.

Your dentist can discuss the pros and cons of each treatment plan before you move forward but don't wait too long. An untreated tooth infection can quickly become a tooth abscess. This infection can spread to the surrounding tissues and bone and even trigger sepsis, which leads to severe conditions like tissue damage, organ failure, and even death.

How Do You Prevent Rotten Teeth?

The good news is you can easily prevent all of this with proper oral hygiene. Remember these basic steps:

Brush your teeth twice a day for at least two minutes each time with fluoride toothpaste.

Clean between your teeth daily with an interdental device such as floss or a water flosser.

See your dentist regularly for oral exams to catch tooth decay early.

With these few steps, you can erase all worries about your teeth rotting out. However, if you already feel rotten teeth pain or see the signs of rotting teeth, visit your dentist today. Your dental professional can address your tooth decay and take the necessary steps to save your smile and protect your overall health.

(12/05/2023)
by Colgate

More Information: https://www.colgate.com/en-us/oral-health/threats-to-dental-health/rotten-teeth-symptoms-and-treatment


Views: 466
Share