Dentists Journal

Top Ten Stories of the Week
4/24/2021

All Dentists Journal · Previous Week · This Week · All Time List · Headlines

Share

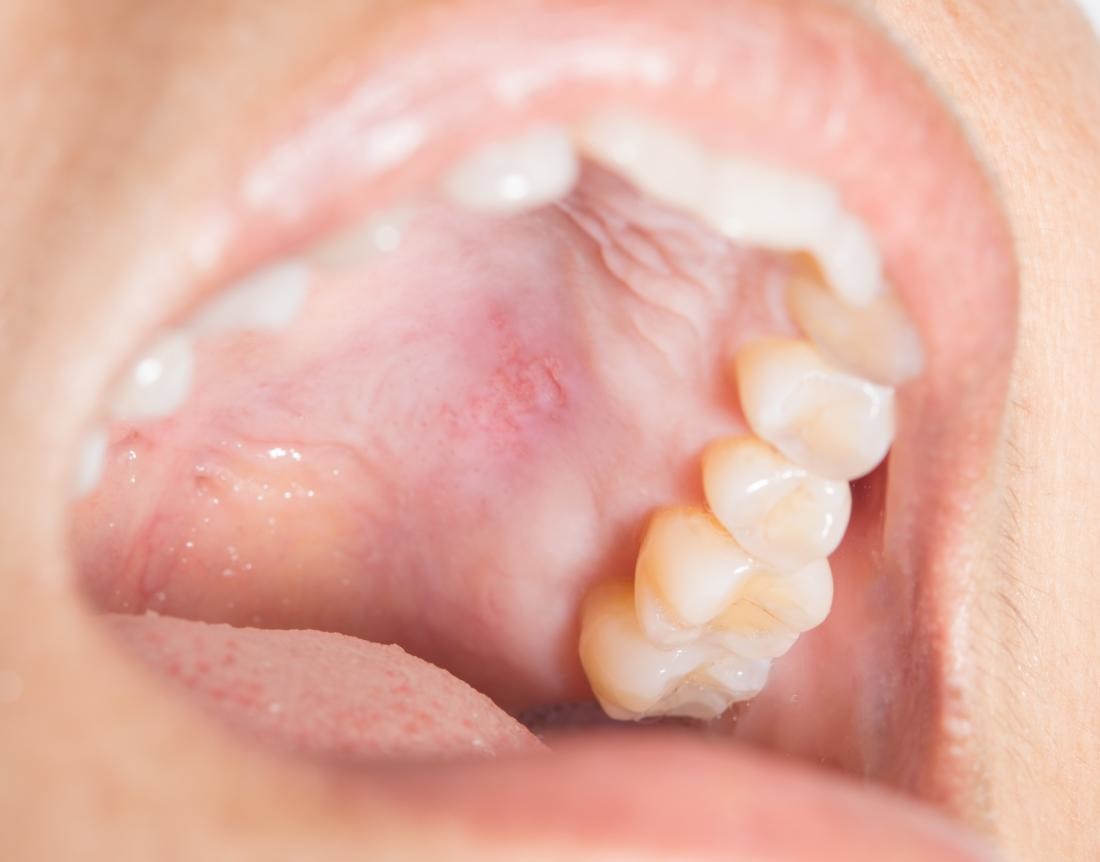
Should You Worry About Gum Boils or Gum Abscesses?

Gum boils or gum abscesses are major signs that your teeth are suffering from a deep infection. These unsightly boils are filled with pus and painful once touched or bumped. If you have gum abscesses, you will have a difficult time eating your favourite foods.

But don’t worry – gum abscesses are manageable. You just need to know their real nature and how to manage them effectively. It’s also important to listen to your dentist’s advice.

The Types of Gum Boils

Gum boils are divided into two main types – periodontal abscess and periapical abscess. Your dentist can easily figure out what type of gum boil you have. Basically, periodontal abscess forms in the gum tissue, while periapical abscess forms within the tooth itself. A periapical abscess is usually more serious and can be resolved by root canal treatments and other advanced dental procedures.

Here are some of the common symptoms of gum boils:

gum pain and gum tenderness

reddening and swelling gums

abscess bleeding

bad breath

earache, nausea, and fever

Your dentist’s goal is to prevent the spread of the infection caused by abscesses. A root canal treatment is advisable if the gum infection has already affected multiple teeth. The procedure is also useful if there’s deeper tooth damage in your upper or lower jaw.

How to Deal With Gum Boils Properly

There are diverse ways to deal with gum infection and to prevent the appearance of other abscesses. Practically, dentists will advise the use of antibiotics to control bacterial growth and stop the infection. Topical treatments are only used to alleviate the pain and sensitivity caused by the abscesses.

A deep cleaning procedure is another direct solution that deals with plaque removal. This procedure can also promote continuous gum healing and can be boosted by effective oral care. Dental draining is a follow-up procedure meant to drain the pus from the abscesses in your gums.

How to Manage Gum Abscesses At Home

Home care plays a vital factor in terms of pain management. The first thing that you have to improve your brushing and flossing habits. You need to brush and floss at least twice a day to prevent the formation of gum abscesses and reduce plaque buildup. However, if you already have gum abscesses, you need to be extra careful. Be gentle, and avoid bumping the abscesses so they won’t bleed.

Nutrition is crucial to gum boil management. You must avoid sugary drinks (like sodas and fruit juices) and processed foods as much as possible. This is not easy, especially if you’re used to consuming large amounts of sugar. Let go of sodas – they can only make your gum infection worse. Smoking is also a big risk factor. Keep in mind that a stick of cigarette can affect your immune system and decrease the potency of gum treatment medicines.

Mouthwash can help in bacterial control though you shouldn’t rely on it all the time. If you constantly use mouthwash, your gums will be exposed to dryness, inflammation, and irritation. This defeats the purpose of the mouthwash. A safer alternative is a dental saltwater rinse. Just mix a teaspoon of salt and a cup of warm water. Then you can swish it all over your mouth for at least 40 seconds. Repeat the procedure for up to 3 times per day to ensure maximum effectiveness.

Hydrogen peroxide is a popular choice among dentists, but you need to be careful in mixing it. If you do the mixture correctly, hydrogen peroxide can control bacterial growth and reduce most instances of pain and gum tenderness. You should also check out natural dental rinses featured online. Remember, these dental rinses are better than commercial mouthwash and they won’t cause mouth dryness or gum irritation.

Conclusion

Gum boils require immediate attention. Don’t wait for too long because gum boils can lead to long-term teeth damage and other health complications.

(04/17/2021)
by KW Dental Emergency

More Information: https://www.kwdentalemergency.com/should-you-worry-about-gum-boils-or-gum-abscesses/


Views: 2,030
Share
Share

What to know about a tingling tongue and anxiety

The medical community refers to a tingling of the tongue as psychogenic lingual paresthesiaTrusted Source. Paresthesia is the term for an unusual sensation, and psychogenic means that the origin is psychological.

In this article, we discuss the link between anxiety and a tingling tongue in more detail. We also look at the other physical symptoms of anxiety.

Can anxiety cause a tingling tongue?

When a person is anxious, their body prepares them for a fight-or-flight response, triggering a wide range of physical changes. One of these changes is that the blood vessels constrictTrusted Source. This constriction reduces blood flow, which can cause numbness and tingling, especially in the feet and hands. It is also possible to experience tingling in the tongue.

A tingling tongue is a relatively common oral symptom. Although it can sometimes be due to physical issues, such as nerve damage, anxiety can also lead to tingling.

A 2015 case studyTrusted Source reports on a 32-year-old man who had experienced tingling on the tip and right side of his tongue for 5 months. An examination revealed no physical cause.

Based on the man’s other symptoms, doctors diagnosed him with psychogenic lingual paresthesia, which is tingling in the tongue for psychological reasons, along with mixed anxiety and depressive disorder. The tongue sensation resolved after he began taking an antidepressant.

Sometimes, anxiety causes tics, which are sudden, uncontrolled, repetitive movements. Some tics, such as chewing or sucking motions, can injure the tongue.

Some injuries may lead to numbness, pain, or tingling. Although anxiety is ultimately the cause, it is important to seek medical treatment for the injury.

Other causes

Anxiety is not the only possible cause of numbness in the tongue. Many people experience tongue numbness following dental proceduresTrusted Source or an injury to the face. Numbing agents, as well as nerve damage from falls or oral surgery, may cause tongue numbness.

Other conditions that cause compulsive behaviors, such as Tourette’s syndrome and obsessive-compulsive disorder (OCD), can also cause a person to hurt their tongue.

When to contact a doctor

A person should contact a doctor if:

tongue numbness lasts several days or does not improve when a person’s anxiety is better

anxiety does not get better with home management strategies

they experience different anxiety symptoms than usual

they notice numbness after taking a new medication or sustaining an injury to the tongue or mouth

anxiety medication makes the symptoms worse, does not work, or stops working

anxiety is severe enough to interfere with daily life

they experience thoughts of suicide or self-harm

Emergency care is necessary if bodywide tingling occurs alongside other serious symptoms, such as intense chest pain, and anxiety management strategies do not help. Examples of these strategies include deep breathing and muscle relaxation.

It is easy to worry about a tingling tongue, especially if a person already feels anxious.

Many different conditions can cause a tingling tongue, so it is important not to ignore it. If it disappears as anxiety eases, the anxiety is likely the cause.

A person should contact a doctor if they frequently experience anxiety, panic attacks, or numbness, or if they have persistent tongue numbness and tingling.

(04/19/2021)
by Medical News Today

More Information: https://www.medicalnewstoday.com/articles/tingling-tongue-and-anxiety


Views: 1,149
Share
Share

Getting chapped lips in summer?

Dealing with chapped lips in the winters is common. In fact, dry lips are usually associated with the cold season. However, it is not that very unusual to have chapped lips in summer as well. We are into the peak of the Indian summer and the mercury soars, many people are left with painful chapped in this dry weather.

However, the remedies for chapped lips in summer are very different from those that you can try in winter. Keeping yourself hydrated is one of the best remedies for chapped lips in the hot weather. You cannot patch up your lips with excess of oils or creams but some coolants like watermelon can help. You also need to get your summer diet right to avoid chapped lips. Foods that cause dehydration should be avoided and foods with high water content must be included in your diet.

The most important part of the diet which is often over-looked: Salads. Make a colorful salad everyday and add seeds (lots and lots of them) - flax seeds (which are now easily available in India), sesame seeds, sunflower seeds, papaya seeds and all the other seeds that you can get your hands on. Seeds have all kinds of minerals and vitamins and you can use them in almost everything from salads to curries and desserts. Seeds and Nuts have essential fatty acids which make the skin soft and supple from inside. So, gorge on them.

Now, let us talk a little about skin care routine. Cleanse, Tone and Moisturize is something you have heard a lot about. So, use skin care products which are suitable to your skin type.

Or, otherwise, you might want to go for besan+milk for a cleanser as an alternative (definitely use it at night). Another alternative is Episoft cleanser. Ask for it in the pharmacy. It is a little difficult to get but the Apollo people generally get it for you. If you are unable to get it, the next best option is Cetaphil cleanser which is available very easily. These cleansers are extremely gentle on the skin and clean it without drying it.

Now, let us talk about a toner. Stay away from alcohol toners in case you are using them. Read the ingredients of your skin products and chuck out all those which have anything saying ethyl alcohol or denat alcohol. But, do not throw away products with cetyl alcohol. Only ethyl and denat alcohol dry the skin. All others are useful for cleansing process. Or, you can simply use rose water.

Moisturizer is a little tricky because not all moisturizers suit us so one a more safely recommend Cetaphil moisturizer. Else use something which already suits you.

Apart from the CTM routine, one thing which should not be neglected is exfoliation. Yes, you should exfoliate regularly even if your skin is dry. Twice a week with a gentle exfoliator is good idea. Natural apricot scrubs are a good option or using besan is also another good option. They are gentle and would not harm the skin. And, moisturize repeatedly. Buy a good body lotion which is thick enough like probably Nivea classic might suit you or some other intensive body lotion. Try not to take a bath in extremely hot water.

Another good option is oil massage for the body using almond oil or coconut oil or sesame oil once or twice a week. That will moisturize the body very well and also simultaneously exfoliate your skin. Oil is a very good option for removing the flaky skin which is generally a reason for dry skin. Also, while massaging your body, be sure to apply oil in the belly button as it is somehow magically linked to soft lips.

Coming to cracked lips, exfoliate twice a week using the tooth brush or lip scrub. And, always use a lip balm. Well, we would say don't go for vaseline but go for shea butter or cocoa butter based lip balms. If you are able to find them, well and good. Otherwise, a simple nightly treatment for your lips is to apply a tablet of Vitamin E daily on your lips and massage them. Also, include your face in this treatment.

Coming to health reasons, now, you might naturally have a very dry skin for which you can actually visit a dermatologist. The doc will get a few blood tests done and probably would be able to tell you even without the blood tests what is wrong with your skin. So, in case, all the above treatments don't work, go to a dermatologist soon enough. Don't ignore.

And, don't forget, hot temperatures and extreme humidity can also cause dryness of the skin so always keep your skin hydrated from the inside.

(04/20/2021)
by Skymet Weather Team

More Information: https://www.skymetweather.com/content/lifestyle-and-culture/getting-chapped-lips-in-summers/


Views: 996
Share
Share

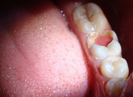
How to Avoid Food Getting Stuck in Your Teeth

Food getting stuck in the little hard-to-reach places in our teeth — it happens to the best of us. Oftentimes, food can get wedged into the space between teeth or even into the deep grooves of a molar. What may seem like a harmless annoyance can actually be quite harmful if left alone.

Food particles left on teeth feed the bacteria in our mouth. When there is an abundance of food, bacteria produce acid from digestion. This acid then eats away at enamel and causes tooth decay. This is why it is so important to clear your teeth when food gets stuck. This way, bacteria have nothing to feed on.

Tips to avoid getting food stuck between your teeth

Rinse after eating

To immediately dislodge any food after eating, try swishing water around the mouth. Usually, the longer food is stuck between your teeth, the harder it becomes to remove it. Swishing right when you feel food in your teeth is important in getting it out right away before it can be packed deeper.

Brush after every meal

Stubborn food particles may need a little extra push to be loosened from teeth. If swishing does not do the trick, brush teeth gently after finishing a meal. Flossing is another great way to get the food out if you know exactly where it is stuck.

Avoid these foods

Blueberries, blackberries, strawberries and any fruit or vegetable with small seeds will likely leave you with those seeds tucked securely in the grooves of your back molars. Popcorn is another pesky food that makes its home in your teeth.

The kernels from popped corn are curved and rigid, which means they often fit perfectly around a tooth at the gumline. These can be a little trickier to remove.

If you must eat these foods, try to use your tongue to loosen any seeds or kernels that might get stuck. The tongue should always be the first defense in getting food out of teeth.

Bring flossers with you

Instead of using the classic toothpick to dislodge food from teeth, try to always carry a single-use flossing utensil with you. These flossers are usually made from plastic and have a small amount of floss strung through one side, and a small pick on the other. These plastic flossers are sturdier than wood, while toothpicks can break up into small splinters and injure gums.

Consider aligners

When food gets stuck between the same teeth every time, aligning the bite may be the best option. Teeth that are even slightly apart create a small space between them where food can easily get caught. Subsequently, these teeth are much more prone to tooth decay since this space is harder to clean and more frequently comes into contact with particles. Whether this gap happened over time or if you have always had it, bringing your teeth closer together will ensure a healthier bite.

Fix damaged teeth right away

Cavities and cracked teeth can invite food into these tiny formed crevices. Bring these teeth to the attention of your dentist if you are aware of any areas where food is repeatedly getting stuck. This could mean damage has occurred without your knowledge.

Once the teeth are repaired and sealed, food will no longer be able to make its way into these small holes.

The bottom line

Remember, if there is food constantly getting stuck in a certain spot in the mouth, it may be time to visit the dentist. Otherwise, always try to have a flosser on you and swish water after meals to avoid getting food stuck in your teeth.

(04/19/2021)
by McCarthy Dentistry

More Information: https://www.mytotaldentistry.com/blog/how-to-avoid-food-getting-stuck-in-your-teeth/


Views: 1,070
Share
Share

Everything you need to know about stomatitis

Stomatitis is a type of mucositis, a condition defined as pain or inflammation of the mucous membrane.

Mucositis is a relatively common side effect of chemotherapy and sometimes radiotherapy. It can affect the inside of the lips, cheeks, gums, tongue, and throat.

Stomatitis that reoccurs and includes mouth ulcers is called recurrent aphthous stomatitis (RAS) and is the most common diseaseTrusted Source affecting the mouth area, with around 5-25 percent of the United States population affected in some way.

Causes

Stomatitis can be caused by a variety of different factors, which may overlap with each other at the same time. Often it will be due to injury, infection, allergy, or skin disease.

The  most common causes are:

trauma from ill-fitting dentures or braces, biting the inside of the cheek, tongue, or lip, and surgery, chemotherapy treatment for cancer, viral infection, such as herpes, yeast infection, such as thrush, any condition associated with xerostomia, or dry mouth, smoking or chewing tobacco.

Other examples include:

Bacterial infections, sexually transmitted infections, weakened or deficient immune system, irritation from strong chemicals, stress, certain diseases, including Behcet’s disease, Crohn’s disease, and lupus medications, including sulfa drugs, anti-epileptics, and some antibiotics, nutritional deficiencies, allergic reactions, burns caused by hot food and drink.

It is important to identify the cause of stomatitis in order to treat it properly.

Symptoms

Stomatitis often results in pain, stinging, and soreness. Each person may experience different symptoms. These can include:

mouth ulcers with a white or yellow layer and red base, usually inside the lips, cheek, or on the tongue, red patches, blisters, swelling, oral dysaesthesia – a burning feeling in the mouth, lesions that heal in 4-14 days and often recur.

Treatment

Treatment for stomatitis will depend on the cause. Treating the root cause is important for stomatitis caused by the following:

Allergy: If caused by an allergic reaction, then the doctor will try to identify what the allergy is and look to eliminate its effects.

Infection: Stomatitis caused by an infection may require specialized treatment and medications depending on what the infection is.

Disease: If a specific disease causes stomatitis, a doctor will aim to identify this and treat it.

Nutritional deficiency: A doctor can identify and address nutritional problems with medication or diet.

Topical treatment

Topical treatments applied directly to the skin have been found to helpTrusted Source lessen the pain and speed up healing. Types of topical treatment include:

Topical corticosteroids: Often a rinse, these aim to eliminate symptoms to allow the person to eat, drink, and speak without pain or discomfort.

Topical antibiotics: These are usually in gel or rinse format and have anti-inflammatory and antibiotic properties.

Topical anesthetics: These are numbing medications, mostly available by prescription that people can apply directly to the sores for temporary pain relief.

Kanka: An over-the-counter product that provides a barrier layer to mouth sores, giving temporary pain relief.

(04/18/2021)
by Medical News Today

More Information: https://www.medicalnewstoday.com/articles/317839


Views: 1,015
Share
Share

What causes a swollen uvula?

The uvula is made up of mucous membranes, connective and muscle tissue, as well as canals that excrete saliva. It is very flexible, which ensures that it can fulfill its functions.

Symptoms

Though rare, the uvula and the surrounding areas can become swollen. Redness, soreness, and inflammation of the uvula is called uvulitis.

Inflammation is the body’s automatic response to an injury, allergic reaction, or illness. Inflammation may also include redness, irritation, itching, swelling, or burning.

If the immune system is not able to remove a harmful organism like a virus or bacterium, the uvula can become infected.

With uvulitis, a person may feel as if something is stuck in the back of their throat as well as experience difficulty swallowing. In some cases, the sound of the voice may also be affected.

Other symptoms include: Problems breathing, sore throat, swollen tonsils, excessive saliva, gagging, nasal regurgitation, fever, pain, trouble or painful swallowing.

Causes

Bacterial and viral infections such as strep throat, mononucleosis, or respiratory tract infections can cause uvulitis. The common cold is an easy way to pick up an infection because people’s nasal passages are typically blocked up. This leads them to breathe through their mouths.

Infectious uvulitis typically occurs with other conditions, such as an infection of the mouth or throat. Any of these conditions can lead to inflammation in the throat, which may then lead to uvulitis.

Other causes of uvulitis include:

Allergies: Allergic reactions can trigger a buildup of fluid in the throat or mouth resulting in swelling. It can be the result of an allergic reaction to food or even an insect sting. Anaphylactic reaction or shock is very dangerous and requires emergency medical treatment immediately.

Genetics: A cleft lip or cleft palate is a congenital trait that affects the roof of the mouth. This can cause the uvula to be enlarged, off place, shrunken, or even missing.

An elongated uvula is a hereditary trait. Though it may not swell, it can cause similar symptoms due to the size. Hereditary angioedema is a rare genetic condition that causes swelling throughout the body, and it can affect the uvula.

A swollen uvula can also be caused by:

dry mouth

injury to the uvula or the throat area

acid reflux

Too much smoking and alcohol can also lead to mouth irritation, which can result in uvulitis. Breathing in chemicals can also cause swelling.

Some people may experience some swelling in their uvula after surgery. General anesthesia can cause irritation and a swollen uvula. Trauma from tubes inserted into the throat can also lead to uvulitis.

Home remedies

Mild cases of uvulitis can often be treated at home. There are a few home remedies that can be used to treat the problem. People with a swollen uvula are advised to do the following:

Drink plenty of fluids. The uvula is sometimes swollen due to dry mouth or dehydration, so water is the best medicine.

Gargling with warm water and plain table salt can help to soothe a sore throat.

Throat lozenges such as eucalyptus cough drops or throat spray can help to numb the pain. Cough drops and throat spray are available to purchase online.

Hot tea and honey, or just honey and hot water, can help to soothe a sore throat.

Chewing on ice chips may be helpful in reducing swelling.

Tea made with basil leaves can help reduce throat irritation. Basil leaves can be purchased loose.

Get plenty of rest.

Home remedies coupled with over-the-counter pain-relief medications can usually clear up a swollen uvula in a couple of days.

(04/16/2021)
by Medical News Today

More Information: https://www.medicalnewstoday.com/articles/315997


Views: 1,446
Share
Share

Swelling on the Roof of Your Mouth

The delicate skin on the roof of your mouth takes a lot of daily wear and tear. Occasionally, the roof of your mouth, or the hard palate, may bother you or cause problems, such as swelling or inflammation.

Along with swelling in your mouth, you may experience other symptoms. These other symptoms may help direct you and your doctor toward a diagnosis. They include:

Pain

In some cases, pain will accompany swelling in the roof of your mouth. Some of the conditions that could cause pain are serious. These conditions include oral cancer, alcohol-related liver disease, and hepatitis.

Dry mouth

Dry mouth is a common condition that could be an indication of several problems. Most notably, dry mouth could be a symptom of a blockage in your saliva glands, trauma, or burns from hot food or liquid. Drinking alcohol can cause you to become dehydrated, which leads to dry mouth and swelling in the roof of your mouth.

Sores or blisters

Canker sores and cold sores cause small bumps or nodules. As they grow larger, these spots may become irritated and painful.

Muscle spasms

When the levels of electrolytes in your body fall too low, you may experience muscle spasms, contractions, or cramps. Maintaining adequate levels of these various minerals will help you avoid symptoms of dehydration or overhydration.

Causes

Pinpointing a reason for your swollen palate may be made easier if you understand the possible causes. These include:

Trauma

Mouth trauma can occur in several ways:

Eating foods that are too hot can burn the delicate skin of your hard palate. This may cause blisters or pockets of burned skin.

Eating hard foods, such as tortilla chips, hard candies, and firm fruits and vegetables, can hurt the roof of your mouth.

Scratching the hard palate may lead to swelling and inflammation.

Mouth sores

Before they become obvious spots or blisters, cold sores and canker sores may cause swelling on the roof of your mouth. Stress and hormonal changes may trigger a canker sore. Many canker sores develop on your cheek or the gums near your teeth, but it’s not uncommon for them to appear on the roof of your mouth, too.

A common virus called the herpes simplex virus causes cold sores. Most cold sores last about a week and disappear without treatment. Typically, cold sores appear on your lip, but they may crop up on your hard palate.

Electrolyte imbalance

Electrolytes are minerals in your body fluids, blood, and urine. Maintaining adequate electrolyte levels is very important for proper body functions. When levels of electrolytes become too low or too high, you may experience any number of symptoms, including swelling in the roof of your mouth.

Alcohol use

People who drink heavily and have a hangover the next day may notice swelling and discomfort in the roof of their mouths. That’s because alcohol encourages your body to release more urine, which can leave you dehydrated. Dehydration can cause dry mouth. Excessive dry mouth may lead to swelling or tenderness on the roof of your mouth.

Mouth cancer and other serious conditions

In rare cases, swelling on the roof of your mouth may be a symptom of a serious health issue, such as oral cancer. Likewise, if swelling on the roof of the mouth is accompanied by abdominal tenderness, it could be a sign of hepatitis.

In many cases, the swelling or inflammation you’re experiencing will go away on its own. More severe causes for swelling of the roof of your mouth, such as cancer, are rare. It’s more likely that you’ve irritated the delicate skin on your hard palate. As you recover, remember to give your skin time to heal. Don’t eat extremely hot or hard food while your skin is already sensitive, and avoid foods that irritate the roof of your mouth. If the swelling doesn’t go away in five days to a week, you should see your doctor.

(04/16/2021)
by Healthline

More Information: https://www.healthline.com/health/roof-of-mouth-swollen#outlook


Views: 789
Share
Share

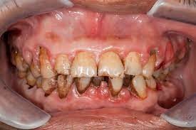
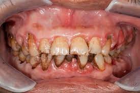
What Chewing Tobacco Does to Your Teeth?

Chew, spit tobacco, chewing tobacco, snuff, chaw, dip, and plug are just a few of the names for smokeless tobacco. However, just because it’s smokeless doesn’t mean that it’s harmless. Tobacco has a long history in North Carolina– Greensboro in particular–and though usage has dropped in recent years, usage in this state is still above the national average.

Although it isn’t smoked like a cigarette or cigars, chewing tobacco still has serious consequences for your oral health. From loose teeth to cancer, chew can wreak havoc on not just your mouth, but the health of your entire body.

It may have become less popular over the last few decades for a number of reasons, but many chewers are still going strong. In North Carolina, 4.5% of adults use smokeless tobacco products. When the short and long-term effects are considered, it may become much easier to kick the habit for good.

Short-Term Effects of Chewing Tobacco

While any type of tobacco is bad for your teeth, there are some unique short term effects of chewing tobacco. Some of these include: Bad breath, Bad taste in your mouth, Excess saliva (problems with drooling), Stained or yellow teeth, Your clothes can become stained, Nicotine addiction, Receding gums, Gum loss, Teeth become sensitive, Risk of tooth decay, Sores and white patches in your mouth.

These effects can occur after just a short period of usage. Most of these issues (aside from staining and gum issues) can be stopped if you stop using chew. However, many North Carolinians have a hard time with this due to the addictive qualities of nicotine, thus leading to many long term health effects.

Long-Term Effects of Chewing Tobacco

For those who can’t kick the habit, there are other serious side effects that can affect your whole body health. Here are some of the health challenges that may result from prolonged usage of smokeless tobacco.

Cancer of the mouth, tongue, cheek, gums, esophagus, stomach, pancreas and throat.

Increased risk of heart disease, heart attacks and stroke

Bone loss surrounding the roots of teeth, Cavities, Loss of teeth.

As with most harmful substances, the longer you use chew, the more severe the side effects will be.

Quitting Won’t Be Easy, But It Is Possible

Nicotine is a highly addictive substance and it can be a difficult feat to quit for anyone. However, it’s not impossible. When you’re ready to move past this part of your life, it’s important to put a plan into place, set a quit date and lean on your support system. Expect cravings when you’re quitting, but don’t give in. The following tips will help immensely when you’re feeling the urge.

Change pace: When the craving hits, stop what you’re doing and do something else. This change of routine will help retrain your mind.

Distract your mouth: Stock up on sugar-free gum to keep your mouth busy throughout the day. Drinking plenty of water will also keep your body replenished and distracted.

Move around: Bust out a few jumping jacks, stroll around the block or jog up the stairs. Exercise isn’t just good for you, it will also kick those endorphins into overdrive helping distract from nasty cravings

Just breathe: Taking deep breaths will help you relax and take your mind off the urges to chew.

Can You Reverse the Effects of Chewing Tobacco?

You won’t be able to completely reverse the harm that has been caused by using chewing tobacco, but the sooner you quit, the less damage will be done. Even if you’re a long-term chew user, never fear, there are ways to restore your smile and teeth functionality. Procedures like dental implants can help with tooth loss, and whitening can restore enamel to its original luster.

(04/20/2021)
by Greensboro Dentist

More Information: https://greensboro-dentist.com/what-chewing-tobacco-does-to-your-teeth/


Views: 1,020
Share
Share

What are salivary glands and their functions?

A salivary gland is a tissue in our mouths that expels saliva. Saliva is a mixture of water, mucus, antibacterial substances, and digestive enzymes. One of the most recognizable digestive enzymes in human saliva is amylase. This enzyme is able to break down the starch in our food to simpler and more easily digestible sugars like glucose and maltose. Whenever we chew, we are activating salivary glands in preparation for the breakdown of our meal.

Saliva also helps keep our mouth and digestive tract lubricated, which ensures it functions properly. Salivary glands typically function without issue, but a blockage or infection within the salivary glands can cause significant pain and discomfort.

The salivary glands are located in several areas around the mouth and have ducts connected to both the upper and lower jaw. This ensures that saliva evenly coats the inner lining of the mouth. You can feel the end of these ducts just below your tongue and along the inside of your upper lip. If you eat something with a lot of starch or sugar, you can also feel the salivary glands activating and releasing saliva.

Salivary Glands Function

Briefly, saliva itself serves many uses. As the only secretion of our salivary glands, it is helpful in creating the food bolus, or the finely packed ball of food that we roll inside our mouths. This shape facilitates its safe passage through our alimentary canal. Saliva has lubricating properties that are protective, as well. Saliva protects the inside of our mouths, our teeth, and our throats as we begin to swallow the bolus. It also cleanses the mouth after a meal and dissolves food into chemicals that we perceive as taste.

Salivary Gland Location

Salivary glands come in three types: the parotid, sublingual, and submandibular glands. Each is aptly named after the area in the oral cavity in which it is located. Let’s begin this discussion with the parotid gland.

he two parotid glands are located within each of our cheeks. Parotid glands are the largest type of salivary gland. They account for up to twenty percent of the saliva in our oral cavity. Their main role lies in facilitating mastication, or “chewing,” and in commencing the first digestive phase of our food. The parotid gland is notably labeled a serous type of gland. Serous glands are those that secrete protein-rich fluid, which in this case is an enzyme-rich suspension of alpha-amylase.

Submandibular Gland

Next, the submandibular gland is located close to our mandible. This is the movable part of our jaw. In essence, this gland lies on the floor of our mouths. Since it is superficially located, we can feel it if we place our fingers about two inches above the Adam’s apple. It is the second-largest salivary gland and produces the most saliva (up to 65%). It is considered a mixture of serous and mucous glands since the suspension is both rich in enzymes and gooey mucus that is released into the oral cavity through the submandibular ducts.

Sublingual Glands

Lastly, sublingual glands are located under the tongue. They are the smallest and most dispersed salivary gland. They secrete mostly mucus, which exits directly through the Rivinus ducts. Only a minimal (~5%) amount of saliva in the oral cavity comes from these salivary glands.

Salivary Glands Innervation

Salivary glands are innervated by both branches of the autonomic, or “involuntary,” nervous system. This is commonly associated with the fight or flight response, as well as the feeding and resting responses. When we see a bear, for instance, we trigger our sympathetic response. This threat triggers the release of norepinephrine, a rise in our heart rate, dilation in our eyes, and notably, slowed digestion and a dry mouth.

This means that whereas sympathetic stimulation normally overstimulates its target, it inhibits the salivary gland. So, we produce less saliva. In contrast, parasympathetic stimulation of the salivary gland renders a heavy flow of saliva. The parasympathetic branch of the somatic nervous system is responsible for responses such as eating, growing, and reproducing.

(04/17/2021)
by Gabe Buckley

More Information: https://biologydictionary.net/salivary-glands/


Views: 839
Share
Share

Reversible and irreversible pulpitis

Inside the innermost part of each tooth is an area called the pulp. And Pulpitis is inflammation of the dental pulp, or tissue in the center of a tooth. The dental pulp comprises soft connective tissue, nerves, and the blood supply for the tooth.

There are two forms of pulpitis: reversible and irreversible.

Reversible pulpitis refers to instances where the inflammation is mild and the tooth pulp remains healthy enough to save. Irreversible pulpitis occurs when inflammation and other symptoms, such as pain, are severe, and the pulp cannot be saved.

Irreversible pulpitis may lead to a type of infection called periapical abscess. This infection develops at the root of the tooth, where it causes a pocket of pus to form. If not treated, this infection can spread to other parts of the body, such as the sinuses, jaw, or brain.

Symptoms

Pulpitis causes: pain, which may be sharp or throbbing, sensitivity to sweet, hot, or cold foods and beverages, inflammation.

The severity of these symptoms depends on the type of pulpitis.

Reversible pulpitis typically causes mild symptoms, such as sensitivity and nonlingering pain to cold.

Irreversible pulpitis, on the other hand, may cause severe pain. With irreversible pulpitis, the pain lasts for a long time, even after the stimulant has gone.

Signs and symptoms of infection may also accompany irreversible pulpitis if the inflammation progresses, and may include: a fever, an unpleasant taste in the mouth, bad breath (halitosis), difficulty eating, swelling in the face or cheek, swollen lymph nodes.

Causes

The most common cause of pulpitis is when bacteria irritate the dental pulp through an area of tooth decay, including dental caries.

Other causes of pulpal inflammation include: trauma or injury to a tooth, grinding or clenching the teeth repeated, invasive dental procedures.

These irritants typically first cause reversible pulpitis. If the pulp continues to be inflamed, the pulpitis becomes irreversible, which may eventually lead to the pulp dying.

Diagnosis

A dentist can diagnose pulpitis from a person’s symptoms, an examination of the teeth, and possibly X-rays. The test can help the dentist to determine the extent of the damage, and possibly save the pulp.

Treatment

The treatment will depend on whether the pulpitis is reversible or irreversible.

Reversible pulpitis

If the pulpitis is reversible, the pain and discomfort should resolve once the person treats the underlying cause of the inflammation.

If damage to the tooth, such as with a cavity or a fracture, is causing the pulpitis, a dentist may repair the tooth to protect the pulp.

The pulp should heal and return to its normal, healthy state once a dentist has removed the source of the irritation.

Irreversible pulpitis

Irreversible pulpitis means that something has damaged the nerve beyond repair, and the inflammation in the pulp cannot be reversed.

The dentist will typically perform a root canal treatment to remove the dying pulp.

Alternatively, a dentist may remove the entire tooth, although this is not typically the first line of treatment if they can save the tooth.

A dentist will not recommend systemic antibiotics as a treatment for irreversible pulpitis. This is because antibiotics will not alleviate the pain and heal the nerve inside the tooth.

When to see a dentist

Individuals should see their dentist at the first sign of pain, sensitivity, or inflammation in the mouth.

It is also important to see a dentist regularly for checkups and cleanings.

Outlook

The outlook for pulpitis depends on the extent of the damage.

Reversible pulpitis may resolve with treatment of the cause or irritant.

Irreversible pulpitis requires a root canal treatment or removal of the tooth to resolve the pain and sensitivity.

Early intervention for pulpitis can improve the outlook. A dentist may be able to perform a simple treatment, such as a filling to heal the pulp before the condition becomes irreversible.

(04/21/2021)
by Medical News Today

More Information: https://www.medicalnewstoday.com/articles/pulpitis#diagnosis


Views: 884
Share